• Tel: 858.663.9055
  • SeparatorEmail: info@nsjbio.com
  • Tel: 858.663.9055
  • Email: info@nsjbio.com
Home >> Antibodies >> C Reactive Protein Antibody / CRP

C Reactive Protein Antibody / CRP (RQ4555)

  Catalog No Formulation Size Price (USD)  
Image RQ4555 0.5mg/ml if reconstituted with 0.2ml sterile DI water 100 ug 439
Bulk quote request
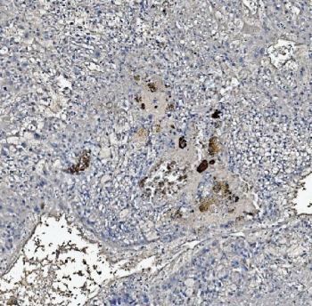
IHC staining of FFPE human liver cancer tissue with C Reactive Protein antibody. HIER: boil tissue sections in pH8 EDTA for 20 min and allow to cool before testing.
Western blot testing of human recombinant protein at 1) 10ng/lane and 2) 5ng/lane with C Reactive Protein antibody at 0.5ug/ml. Predicted molecular weight ~26 kDa.
Availability 1-3 business days
Species Reactivity Human
Format Antigen affinity purified
Clonality Polyclonal (rabbit origin)
Isotype Rabbit IgG
Purity Antigen affinity purified
Buffer Lyophilized from 1X PBS with 2% Trehalose and 0.025% sodium azide
UniProt P02741
Localization Cytoplasmic, extracellular
Applications Western Blot : 0.5-1ug/ml
Immunohistochemistry (FFPE) : 2-5ug/ml
Limitations This C Reactive Protein antibody is available for research use only.
Review this product on BioCompare and get a $20 Amazon gift card

Related Products

Description

C Reactive Protein (CRP) is a major acute phase reactant synthesized primarily in the liver hepatocytes. It is composed of 5 identical, 21,500-molecular weight subunits. CRP mediates activities associated with preimmune nonspecific host resistance. CRP shows the strongest association with cardiovascular events. It is detectable on the surface of about 4% of normal peripheral blood lymphocytes. Acute phase reactant CRP is produced in the liver.

Application Notes

Optimal dilution of the C Reactive Protein antibody should be determined by the researcher.

Immunogen

Amino acids QTDMSRKAFVFPKESDTSYVSLKAPLTKPLKA were used as the immunogen for the C Reactive Protein antibody.

Storage

After reconstitution, the C Reactive Protein antibody can be stored for up to one month at 4oC. For long-term, aliquot and store at -20oC. Avoid repeated freezing and thawing.

Cross
Bulk Quote Request Form
Name*:
Organization*:
Email*:
Phone Number*:
Catalog No.*:
Comments and Specifics(amount, formulation, etc.)*:
Validation code: Captchapackage Image


Can't read the image? click here to refresh.
    *required field

Your bulk quote request has been submitted successfully!

Please contact us if you have any questions.