• Tel: 858.663.9055
  • SeparatorEmail: info@nsjbio.com
  • Tel: 858.663.9055
  • Email: info@nsjbio.com
Home >> Antibodies >> c-Myc Antibody

c-Myc Antibody [clone MYC275] (V3158)

  Catalog No Formulation Size Price (USD)  
Image V3158-100UG 0.2 mg/ml in 1X PBS with 0.1 mg/ml BSA (US sourced) and 0.05% sodium azide 100 ug 539
Image
V3158-20UG 0.2 mg/ml in 1X PBS with 0.1 mg/ml BSA (US sourced) and 0.05% sodium azide 20 ug 249
Image
V3158SAF-100UG 1 mg/ml in 1X PBS; BSA free, sodium azide free 100 ug 539
Image
V3158IHC-7ML Prediluted in 1X PBS with 0.1 mg/ml BSA (US sourced) and 0.05% sodium azide; *For IHC use only* 7 ml 539
Bulk quote request
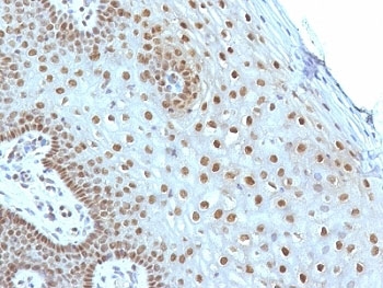
IHC: Formalin-fixed, paraffin-embedded human cervical carcinoma stained with c-Myc antibody (MYC275).
Availability 1-3 business days
Species Reactivity Human
Format Purified
Clonality Monoclonal (mouse origin)
Isotype Mouse IgG1, kappa
Clone Name MYC275
Purity Protein G affinity chromatography
UniProt P01106
Localization Nuclear
Applications Flow Cytometry : 0.5-1ug/10^6 cells
Immunofluorescence : 1-2ug/ml
Immunohistochemistry (FFPE) : 1-2ug/ml for 30 min at RT
Limitations This c-Myc antibody is available for research use only.
Review this product on BioCompare and get a $20 Amazon gift card

Related Products

  • Applications : WB, IHC-P, ICC
    Reactivity : Human
  • Applications : WB, FACS, IHC, ELISA
    Reactivity : Human, Mouse, Rat
  • Applications : IHC-P
    Reactivity : Human
    Citation  Citations(10)
  • Applications : IHC-P
    Reactivity : Human
    Citation  Citations(1)
  • Applications : FACS, IF, IHC-P
    Reactivity : Human
  • Applications : FACS, IF, IHC-P
    Reactivity : Human
  • Applications : ELISA, FACS, IF
    Reactivity : Human
  • Applications : FACS, IF
    Reactivity : Human
  • Applications : WB, IHC-P
    Reactivity : Human
  • Applications : IF/ICC, IHC-P, WB
    Reactivity : Human, Mouse, Rat
    Rab Mono Image
  • Applications : IHC-P, WB
    Reactivity : Human
    Rab Mono Image
  • Applications : WB, IF
    Reactivity : Human, Mouse, Rat
  • Applications : WB
    Reactivity : Human, Mouse, Rat
  • Applications : WB, FACS, ELISA
    Reactivity : Human
    Pred. Reactivity : Bovine, Mouse, Pig, Rat
  • Applications : WB, IHC, ELISA
    Reactivity : Human
    Pred. Reactivity : Bovine, Chicken, Mouse, Pig, Rat, Xenopus, Zebrafish
  • Applications : WB, ELISA
    Reactivity : Human
    Pred. Reactivity : Bovine, Mouse, Rat

Description

The c-Myc protein is a transcription factor, which is encoded by the c-Myc gene on human chromosome 8q24. c-Myc is commonly activated in a variety of tumor cells and plays an important role in cellular proliferation, differentiation, apoptosis and cell cycle progression. The phosphorylation of c-Myc has been investigated and previous studies have suggested a functional association between phosphorylation at Thr58/Ser62 by glycogen synthase kinase 3, cyclin dependent kinase, ERK2 and C-Jun N terminal Kinase (JNK) in cell proliferation and cell cycle regulation. Studies also have shown that c-Myc is essential for tumor cell development in vasculogenesis and angiogenesis that distribute blood throughout the cells, and which brought extensive attention in the development of new therapeutic approach for cancer treatment.

Application Notes

The optimal dilution of the c-Myc antibody for each application should be determined by the researcher.

1. Staining of formalin-fixed tissues requires boiling tissue sections in 10mM Tris with 1mM EDTA, pH 9.0, for 10-20 min followed by cooling at RT for 20 minutes.
2. The prediluted format is supplied in a dropper bottle and is optimized for use in IHC. After epitope retrieval step (if required), drip mAb solution onto the tissue section and incubate at RT for 30 min.

Immunogen

Recombinant human protein was used as the immunogen for this c-Myc antibody.

Storage

Store the c-Myc antibody at 2-8oC (with azide) or aliquot and store at -20oC or colder (without azide).

Cross
Bulk Quote Request Form
Name*:
Organization*:
Email*:
Phone Number*:
Catalog No.*:
Comments and Specifics(amount, formulation, etc.)*:
Validation code: Captchapackage Image


Can't read the image? click here to refresh.
    *required field

Your bulk quote request has been submitted successfully!

Please contact us if you have any questions.