• Tel: 858.663.9055
  • SeparatorEmail: info@nsjbio.com
  • Tel: 858.663.9055
  • Email: info@nsjbio.com
Home >> Antibodies >> c-Myc Antibody

c-Myc Antibody [clone EAC-13] (RQ4861)

  Catalog No Formulation Size Price (USD)  
Image RQ4861 Antibody in PBS with 0.02% sodium azide, 50% glycerol and 0.4-0.5mg/ml BSA 100 ul 439
Microvalidated Rab Mono Image
Bulk quote request
Western blot testing of human HeLa cell lysate with c-Myc antibody. Theoretical molecular weight: ~50 kDa but routinely observed at 50~70 kDa.
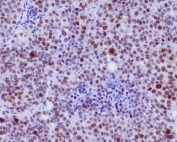
IHC staining of FFPE human lung carcinoma with c-Myc antibody. HIER: boil tissue sections in pH6, 10mM citrate buffer, for 10-20 min and allow to cool before testing.
Availability 1-2 weeks
Species Reactivity Human
Format Purified
Clonality Rabbit Monoclonal
Isotype Rabbit IgG
Clone Name EAC-13
Purity Affinity purified
UniProt P01106
Localization Nuclear
Applications Western Blot : 1:500-1:2000
Immunohistochemistry (FFPE) : 1:50-1:200
Limitations This c-Myc antibody is available for research use only.
Review this product on BioCompare and get a $20 Amazon gift card

Related Products

  • Applications : WB, IHC-P, ICC
    Reactivity : Human
  • Applications : WB, FACS, IHC, ELISA
    Reactivity : Human, Mouse, Rat
  • Applications : IHC-P
    Reactivity : Human
    Citation  Citations(10)
  • Applications : IHC-P
    Reactivity : Human
    Citation  Citations(1)
  • Applications : FACS, IF, IHC-P
    Reactivity : Human
  • Applications : FACS, IF, IHC-P
    Reactivity : Human
  • Applications : ELISA, FACS, IF
    Reactivity : Human
  • Applications : FACS, IF
    Reactivity : Human
  • Applications : FACS, IF, IHC-P
    Reactivity : Human
  • Applications : WB, IHC-P
    Reactivity : Human
  • Applications : IF/ICC, IHC-P, WB
    Reactivity : Human, Mouse, Rat
    Rab Mono Image
  • Applications : WB, IF
    Reactivity : Human, Mouse, Rat
  • Applications : WB
    Reactivity : Human, Mouse, Rat
  • Applications : WB, FACS, ELISA
    Reactivity : Human
    Pred. Reactivity : Bovine, Mouse, Pig, Rat
  • Applications : WB, IHC, ELISA
    Reactivity : Human
    Pred. Reactivity : Bovine, Chicken, Mouse, Pig, Rat, Xenopus, Zebrafish
  • Applications : WB, ELISA
    Reactivity : Human
    Pred. Reactivity : Bovine, Mouse, Rat

Description

c-Myc is an oncogene that functions both in the stimulation of cell proliferation and in apoptosis. It elicits its oncogenic activity by causing immortalization, and to a lesser extent the transformation of cells, in addition to several other mechanisms.

Application Notes

Optimal dilution of the c-Myc antibody should be determined by the researcher.

Immunogen

A synthetic peptide specific to human c-Myc was used as the immunogen for the c-Myc antibody.

Storage

Store the c-Myc antibody at -20oC.

Cross
Bulk Quote Request Form
Name*:
Organization*:
Email*:
Phone Number*:
Catalog No.*:
Comments and Specifics(amount, formulation, etc.)*:
Validation code: Captchapackage Image


Can't read the image? click here to refresh.
    *required field

Your bulk quote request has been submitted successfully!

Please contact us if you have any questions.