• Tel: 858.663.9055
  • SeparatorEmail: info@nsjbio.com
  • Tel: 858.663.9055
  • Email: info@nsjbio.com
Home >> Antibodies >> c-Kit Antibody / KIT / CD117

c-Kit Antibody / KIT / CD117 [clone CGF-11] (RQ5335)

  Catalog No Formulation Size Price (USD)  
Image RQ5335 Antibody in PBS with 0.02% sodium azide, 50% glycerol and 0.4-0.5mg/ml BSA 100 ul 439
Microvalidated Rab Mono Image
Bulk quote request
Western blot testing of human fetal lung lysate with c-Kit antibody. Observed molecular weight: ~120/145kDa (precusor/mature).
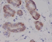
IHC staining of FFPE human breast cancer with c-Kit antibody. HIER: boil tissue sections in pH6, 10mM citrate buffer, for 10-20 min and allow to cool before testing.
Availability 1-2 weeks
Species Reactivity Human
Format Purified
Clonality Rabbit Monoclonal
Isotype Rabbit IgG
Clone Name CGF-11
Purity Affinity purified
UniProt P10721
Applications Western Blot : 1:500-1:2000
Immunohistochemistry (FFPE) : 1:50-1:200
Limitations This c-Kit antibody is available for research use only.
Review this product on BioCompare and get a $20 Amazon gift card

Related Products

Description

The KIT gene encodes the human homolog of the proto-oncogene c-kit. C-kit was first identified as the cellular homolog of the feline sarcoma viral oncogene v-kit. This protein is a type 3 transmembrane receptor for MGF (mast cell growth factor, also known as stem cell factor). Mutations in this gene are associated with gastrointestinal stromal tumors, mast cell disease, acute myelogenous lukemia, and piebaldism. [RefSeq]

Application Notes

Optimal dilution of the c-Kit antibody should be determined by the researcher.

Immunogen

A synthetic peptide specific to human c-Kit / KIT was used as the immunogen for the c-Kit antibody.

Storage

Store the c-Kit antibody at -20oC.

Cross
Bulk Quote Request Form
Name*:
Organization*:
Email*:
Phone Number*:
Catalog No.*:
Comments and Specifics(amount, formulation, etc.)*:
Validation code: Captchapackage Image


Can't read the image? click here to refresh.
    *required field

Your bulk quote request has been submitted successfully!

Please contact us if you have any questions.