• Tel: 858.663.9055
  • SeparatorEmail: info@nsjbio.com
  • Tel: 858.663.9055
  • Email: info@nsjbio.com
Home >> Antibodies >> c-Jun Antibody / JUN

c-Jun Antibody / JUN (RQ7005)

  Catalog No Formulation Size Price (USD)  
Image RQ7005 0.5mg/ml if reconstituted with 0.2ml sterile DI water 100 ug 439
Bulk quote request
Immunofluorescent staining of FFPE human A431 cells with c-Jun antibody (green) and Beta Tubulin antibody (red). HIER: steam section in pH6 citrate buffer for 20 min.
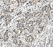
IHC staining of FFPE human renal pelvis squamous metaplasia tissue with c-Jun antibody. HIER: boil tissue sections in pH8 EDTA for 20 min and allow to cool before testing.
IHC staining of FFPE human renal cell carcinoma tissue with c-Jun antibody. HIER: boil tissue sections in pH8 EDTA for 20 min and allow to cool before testing.
Western blot testing of human 1) HeLa, 2) K562, 3) Jurkat and 4) U-87 MG cell lysate with c-Jun antibody. Predicted molecular weight ~36 kDa, commonly observed at 36-43 kDa.
Flow cytometry testing of human U-2 OS cells with c-Jun antibody at 1ug/million cells (blocked with goat sera); Red=cells alone, Green=isotype control, Blue= c-Jun antibody.
Availability 1-3 business days
Species Reactivity Human
Format Antigen affinity purified
Clonality Polyclonal (rabbit origin)
Isotype Rabbit IgG
Purity Antigen affinity purified
Buffer Lyophilized from 1X PBS with 2% Trehalose
UniProt P05412
Localization Nuclear
Applications Western Blot : 0.5-1 ug/ml
Immunohistochemistry (FFPE) : 2-5ug/ml
Immunofluorescence : 5ug/ml
Flow Cytometry : 1-3ug/million cells
Direct ELISA : 0.1-0.5ug/ml
Limitations This c-Jun antibody is available for research use only.
Review this product on BioCompare and get a $20 Amazon gift card

Related Products

  • Applications : FACS, IF
    Reactivity : Human
    Microvalidated
  • Applications : FACS, IF
    Reactivity : Human
    Microvalidated
  • Applications : WB
    Reactivity : Human, Mouse
    Rab Mono Image
  • Applications : WB, ELISA
    Reactivity : Human
    Pred. Reactivity : Bovine
  • Applications : WB, ELISA (peptide)
    Reactivity : Human, Mouse, Rat
    Pred. Reactivity : Dog
  • Applications : WB, ELISA (peptide)
    Reactivity : Human
    Pred. Reactivity : Mouse, Rat, Dog, Cow
  • Applications : WB, IHC-P, FACS
    Reactivity : Human, Mouse, Rat
  • Applications : WB, IHC-P, FACS, Direct ELISA
    Reactivity : Human
  • Applications : WB, IHC-P, IF, FACS
    Reactivity : Human, Mouse, Rat
  • Applications : WB, IHC-P, IF
    Reactivity : Human

Description

c-Jun is a protein that in humans is encoded by the JUN gene. This gene is the putative transforming gene of avian sarcoma virus 17. It encodes a protein which is highly similar to the viral protein, and which interacts directly with specific target DNA sequences to regulate gene expression. This gene is intronless and is mapped to 1p32-p31, a chromosomal region involved in both translocations and deletions in human malignancies.

Application Notes

Optimal dilution of the c-Jun antibody should be determined by the researcher.

Immunogen

Recombinant human protein (amino acids K35-F331) was used as the immunogen for the c-Jun antibody.

Storage

After reconstitution, the c-Jun antibody can be stored for up to one month at 4oC. For long-term, aliquot and store at -20oC. Avoid repeated freezing and thawing.

Cross
Bulk Quote Request Form
Name*:
Organization*:
Email*:
Phone Number*:
Catalog No.*:
Comments and Specifics(amount, formulation, etc.)*:
Validation code: Captchapackage Image


Can't read the image? click here to refresh.
    *required field

Your bulk quote request has been submitted successfully!

Please contact us if you have any questions.