• Tel: 858.663.9055
  • SeparatorEmail: info@nsjbio.com
  • Tel: 858.663.9055
  • Email: info@nsjbio.com
Home >> Antibodies >> c-Fos Antibody

c-Fos Antibody [clone RM374] (R20393)

  Catalog No Formulation Size Price (USD)  
Image R20393-0.1ML Antibody in PBS with 50% glycerol, 1% BSA and 0.09% sodium azide 100 ul 429
Microvalidated Recrabbitmono
Bulk quote request
Western blot testing of lysate from HeLa cells, non-treated (-)or treated (+) with TPA, with recombinant c-Fos antibody at 1:5000 dilution. Expected molecular weight: ~40 kDa (unmodified), 53-68 kDa (phosphorylated).
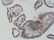
IHC staining of FFPE human thyroid tissue with recombinant c-Fos antibody at 1:1250.
Availability 1-3 business days
Species Reactivity Human
Format Purified
Clonality Recombinant Rabbit Monoclonal
Isotype Rabbit IgG
Clone Name RM374
Purity Protein A purified from animal origin-free supernatant
UniProt P01100
Localization Nuclear, cytoplasmic
Applications Immunohistochemistry (FFPE) : 1:500-1:1000
Western Blot : 1:1000-1:5000
Limitations This recombinant c-Fos antibody is available for research use only.
Review this product on BioCompare and get a $20 Amazon gift card

Related Products

  • Applications : WB
    Reactivity : Human
    Recrabbitmono
  • Applications : WB
    Reactivity : Human, Mouse, Rat
  • Applications : WB, FACS, ELISA
    Reactivity : Human
    Pred. Reactivity : Rat, Bovine
  • Applications : DB, ELISA
    Reactivity : Human
  • Applications : WB, IHC-P, ELISA (peptide)
    Reactivity : Human
    Pred. Reactivity : Dog, Pig, Cat, Cow
  • Applications : WB, FACS, Direct ELISA
    Reactivity : Human

Description

This antibody reacts to human Proto-oncogene c-Fos.

Application Notes

The stated application concentrations are suggested starting points. Titration of the recombinant c-Fos antibody may be required due to differences in protocols and secondary/substrate sensitivity.

Immunogen

A peptide corresponding to N-terminus of human Proto-oncogene c-Fos was used as the immunogen for the recombinant c-Fos antibody.

Storage

Store the recombinant c-Fos antibody at -20oC.

Cross
Bulk Quote Request Form
Name*:
Organization*:
Email*:
Phone Number*:
Catalog No.*:
Comments and Specifics(amount, formulation, etc.)*:
Validation code: Captchapackage Image


Can't read the image? click here to refresh.
    *required field

Your bulk quote request has been submitted successfully!

Please contact us if you have any questions.