• Tel: 858.663.9055
  • SeparatorEmail: info@nsjbio.com
  • Tel: 858.663.9055
  • Email: info@nsjbio.com
Home >> Antibodies >> C-1-tetrahydrofolate synthase Antibody / MTHFD1

C-1-tetrahydrofolate synthase Antibody / MTHFD1 (RQ7319)

  Catalog No Formulation Size Price (USD)  
Image RQ7319 0.5mg/ml if reconstituted with 0.2ml sterile DI water 100 ug 439
Bulk quote request
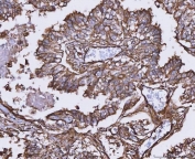
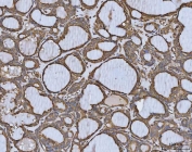
IHC staining of FFPE human liver cancer tissue with C-1-tetrahydrofolate synthase antibody. HIER: boil tissue sections in pH8 EDTA for 20 min and allow to cool before testing.
IHC staining of FFPE human thyroid cancer tissue with C-1-tetrahydrofolate synthase antibody. HIER: boil tissue sections in pH8 EDTA for 20 min and allow to cool before testing.
IHC staining of FFPE human adenocarcinoma of the lung with C-1-tetrahydrofolate synthase antibody. HIER: boil tissue sections in pH8 EDTA for 20 min and allow to cool before testing.
IHC staining of FFPE human diffuse large B cell lymphoma tissue with C-1-tetrahydrofolate synthase antibody. HIER: boil tissue sections in pH8 EDTA for 20 min and allow to cool before testing.
IHC staining of FFPE human chronic tonsillitis tissue with C-1-tetrahydrofolate synthase antibody. HIER: boil tissue sections in pH8 EDTA for 20 min and allow to cool before testing.
IHC staining of FFPE rat liver tissue with C-1-tetrahydrofolate synthase antibody. HIER: boil tissue sections in pH8 EDTA for 20 min and allow to cool before testing.
Immunofluorescent staining of FFPE human tonsil tissue with C-1-tetrahydrofolate synthase antibody (red) and DAPI nuclear stain (blue). HIER: steam section in pH8 EDTA buffer for 20 min.
Immunofluorescent staining of FFPE human HeLa cells with C-1-tetrahydrofolate synthase antibody (red) and DAPI nuclear stain (blue). HIER: steam section in pH6 citrate buffer for 20 min.
Western blot testing of 1) human HeLa, 2) human 293T, 3) rat brain, 4) mouse brain and 5) mouse kidney tissue lysate with C-1-tetrahydrofolate synthase antibody. Predicted molecular weight ~102 kDa.
Flow cytometry testing of human JK cells with C-1-tetrahydrofolate synthase antibody at 1ug/million cells (blocked with goat sera); Red=cells alone, Green=isotype control, Blue= C-1-tetrahydrofolate synthase antibody.
Availability 1-3 business days
Species Reactivity Human, Mouse, Rat
Format Antigen affinity purified
Clonality Polyclonal (rabbit origin)
Isotype Rabbit IgG
Purity Antigen affinity purified
Buffer Lyophilized from 1X PBS with 2% Trehalose
UniProt P11586
Localization Cytoplasmic
Applications Western Blot : 0.5-1ug/ml
Immunohistochemistry (FFPE) : 2-5ug/ml
Immunofluorescence : 5ug/ml
Flow Cytometry : 1-3ug/million cells
Direct ELISA : 0.1-0.5ug/ml
Limitations This C-1-tetrahydrofolate synthase antibody is available for research use only.
Review this product on BioCompare and get a $20 Amazon gift card

Related Products

Description

Monofunctional C1-tetrahydrofolate synthase, mitochondrial also known as formyltetrahydrofolate synthetase, is an enzyme that in humans is encoded by the MTHFD1L gene (methylenetetrahydrofolate dehydrogenase (NADP+ dependent) 1-like). The protein encoded by this gene is involved in the synthesis of tetrahydrofolate (THF) in the mitochondrion. THF is important in the de novo synthesis of purines and thymidylate and in the regeneration of methionine from homocysteine. Several transcript variants encoding different isoforms have been found for this gene.

Application Notes

Optimal dilution of the C-1-tetrahydrofolate synthase antibody should be determined by the researcher.

Immunogen

Recombinant human protein (amino acids K21-Q855) was used as the immunogen for the C-1-tetrahydrofolate synthase antibody.

Storage

After reconstitution, the C-1-tetrahydrofolate synthase antibody can be stored for up to one month at 4oC. For long-term, aliquot and store at -20oC. Avoid repeated freezing and thawing.

Cross
Bulk Quote Request Form
Name*:
Organization*:
Email*:
Phone Number*:
Catalog No.*:
Comments and Specifics(amount, formulation, etc.)*:
Validation code: Captchapackage Image


Can't read the image? click here to refresh.
    *required field

Your bulk quote request has been submitted successfully!

Please contact us if you have any questions.