• Tel: 858.663.9055
  • SeparatorEmail: info@nsjbio.com
  • Tel: 858.663.9055
  • Email: info@nsjbio.com
Home >> Antibodies >> BZW2 Antibody / eIF5-mimic protein 1

BZW2 Antibody / eIF5-mimic protein 1 (RQ6603)

  Catalog No Formulation Size Price (USD)  
Image RQ6603 0.5mg/ml if reconstituted with 0.2ml sterile DI water 100 ug 439
Bulk quote request
IHC staining of FFPE human placental tissue with BZW2 antibody. HIER: boil tissue sections in pH8 EDTA for 20 min and allow to cool before testing.
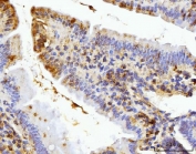
IHC staining of FFPE human gastric adenocarcinoma tissue with BZW2 antibody. HIER: boil tissue sections in pH8 EDTA for 20 min and allow to cool before testing.
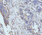
IHC staining of FFPE human appendiceal adenocarcinoma tissue with BZW2 antibody. HIER: boil tissue sections in pH8 EDTA for 20 min and allow to cool before testing.
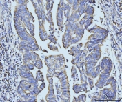
IHC staining of FFPE mouse colon tissue with BZW2 antibody. HIER: boil tissue sections in pH8 EDTA for 20 min and allow to cool before testing.
IHC staining of FFPE rat colon tissue with BZW2 antibody. HIER: boil tissue sections in pH8 EDTA for 20 min and allow to cool before testing.
Western blot testing of human K562 cell lysate with BZW2 antibody. Predicted molecular weight ~48 kDa.
Flow cytometry testing of human ThP-1 cells with BZW2 antibody at 1ug/million cells (blocked with goat sera); Red=cells alone, Green=isotype control, Blue= BZW2 antibody.
Availability 1-3 business days
Species Reactivity Human, Mouse, Rat
Format Antigen affinity purified
Clonality Polyclonal (rabbit origin)
Isotype Rabbit IgG
Purity Antigen affinity purified
Buffer Lyophilized from 1X PBS with 2% Trehalose
UniProt Q9Y6E2
Localization Cytoplasmic
Applications Western Blot : 1-2ug/ml
Immunohistochemistry (FFPE) : 2-5ug/ml
Flow Cytometry : 1-3ug/million cells
Direct ELISA : 0.1-0.5ug/ml
Limitations This BZW2 antibody is available for research use only.
Review this product on BioCompare and get a $20 Amazon gift card

Description

Basic Leucine Zipper and W2 Domain-Containing Protein 2 is a protein that is encoded by the BZW2 gene. BZW2, also known as HSPC028 or MSTP017, is a 419 amino acid protein that contains one W2 domain and is thought to be involved in neuronal differentiation. The gene encoding BZW2 maps to human chromosome 7. Chromosome 7 houses over 1,000 genes and comprises nearly 5% of the human genome. Defects in some of the genes localized to chromosome 7 have been linked to Osteogenesis imperfecta, Pendred syndrome, Lissencephaly, Citrullinemia and Shwachman-Diamond syndrome. The deletion of a portion of the q arm of chromosome 7 is associated with Williams-Beuren syndrome, a condition characterized by mild mental retardation, an unusual comfort and friendliness with strangers and an elfin appearance. Deletions of portions of the q arm of chromosome 7 are also seen in a number of myeloid disorders, including cases of acute myelogenous leukemia and myelodysplasia.

Application Notes

Optimal dilution of the BZW2 antibody should be determined by the researcher.

Immunogen

Recombinant human protein (amino acids E21-A292) was used as the immunogen for the BZW2 antibody.

Storage

After reconstitution, the BZW2 antibody can be stored for up to one month at 4oC. For long-term, aliquot and store at -20oC. Avoid repeated freezing and thawing.

Cross
Bulk Quote Request Form
Name*:
Organization*:
Email*:
Phone Number*:
Catalog No.*:
Comments and Specifics(amount, formulation, etc.)*:
Validation code: Captchapackage Image


Can't read the image? click here to refresh.
    *required field

Your bulk quote request has been submitted successfully!

Please contact us if you have any questions.