• Tel: 858.663.9055
  • SeparatorEmail: info@nsjbio.com
  • Tel: 858.663.9055
  • Email: info@nsjbio.com
Home >> Antibodies >> BubR1 Antibody / BUB1B

BubR1 Antibody / BUB1B (RQ5566)

  Catalog No Formulation Size Price (USD)  
Image RQ5566 0.5mg/ml if reconstituted with 0.2ml sterile DI water 100 ug 439
Bulk quote request
Western blot testing of human 1) HL-60, 2) HEK293, 3) MDA-MB-453, 4) Caco-2 and 5) PC-3 cell lysate with BubR1 antibody. Predicted molecular weight ~120 kDa.
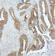
IHC staining of FFPE human colon cancer with BubR1 antibody. HIER: boil tissue sections in pH6, 10mM citrate buffer, for 20 min and allow to cool before testing.
IHC staining of FFPE human breast cancer with BubR1 antibody. HIER: boil tissue sections in pH6, 10mM citrate buffer, for 20 min and allow to cool before testing.
IHC staining of FFPE mouse testis with BubR1 antibody. HIER: boil tissue sections in pH6, 10mM citrate buffer, for 20 min and allow to cool before testing.
IHC staining of FFPE rat testis with BubR1 antibody. HIER: boil tissue sections in pH6, 10mM citrate buffer, for 20 min and allow to cool before testing.
Flow cytometry testing of human U-87 MG cells with BubR1 antibody at 1ug/million cells (blocked with goat sera); Red=cells alone, Green=isotype control, Blue= BubR1 antibody.
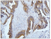
IHC staining of FFPE human colon cancer with BubR1 antibody. HIER: boil tissue sections in pH8 EDTA buffer for 20 min and allow to cool before testing.
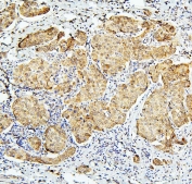
IHC staining of FFPE human breast cancer with BubR1 antibody. HIER: boil tissue sections in pH8 EDTA buffer for 20 min and allow to cool before testing.
IHC staining of FFPE rat testis tissue with BubR1 antibody. HIER: boil tissue sections in pH8 EDTA buffer for 20 min and allow to cool before testing.
Immunofluorescent staining of FFPE human U-2 OS cells with BubR1 antibody (red) and DAPI nuclear stain (blue). HIER: steam section in pH6 citrate buffer for 20 min.
Western blot testing of human 1) HeLa, 2) Jurkat, 3) HEK293, 4) K562 and 5) HL60 cell lysate with BubR1 antibody. Predicted molecular weight ~120 kDa.
Availability 1-3 business days
Species Reactivity Human, Mouse, Rat
Format Antigen affinity purified
Clonality Polyclonal (rabbit origin)
Isotype Rabbit IgG
Purity Affinity purified
Buffer Lyophilized from 1X PBS with 2% Trehalose and 0.025% sodium azide
UniProt O60566
Localization Nuclear, cytoplasmic
Applications Western Blot : 0.25-0.5ug/ml
Immunohistochemistry (FFPE) : 1-2ug/ml
Immunofluorescence : 2-5ug/ml
Flow Cytometry : 1-3ug/million cells
Direct ELISA : 0.1-0.5ug/ml
Limitations This BubR1 antibody is available for research use only.
Review this product on BioCompare and get a $20 Amazon gift card

Related Products

Description

Mitotic checkpoint serine/threonine-protein kinase BUB1 beta is an enzyme that in humans is encoded by the BUB1B gene. This gene encodes a kinase involved in spindle checkpoint function. The protein has been localized to the kinetochore and plays a role in the inhibition of the anaphase-promoting complex/cyclosome (APC/C), delaying the onset of anaphase and ensuring proper chromosome segregation. Impaired spindle checkpoint function has been found in many forms of cancer.

Application Notes

Optimal dilution of the BubR1 antibody should be determined by the researcher.

Immunogen

A human recombinant protein (amino acids K26-E448) was used as the immunogen for the BubR1 antibody.

Storage

After reconstitution, the BubR1 antibody can be stored for up to one month at 4oC. For long-term, aliquot and store at -20oC. Avoid repeated freezing and thawing.

Cross
Bulk Quote Request Form
Name*:
Organization*:
Email*:
Phone Number*:
Catalog No.*:
Comments and Specifics(amount, formulation, etc.)*:
Validation code: Captchapackage Image


Can't read the image? click here to refresh.
    *required field

Your bulk quote request has been submitted successfully!

Please contact us if you have any questions.