• Tel: 858.663.9055
  • SeparatorEmail: info@nsjbio.com
  • Tel: 858.663.9055
  • Email: info@nsjbio.com
Home >> Antibodies >> BTC Antibody / Betacellulin

BTC Antibody / Betacellulin (RQ4539)

  Catalog No Formulation Size Price (USD)  
Image RQ4539 0.5mg/ml if reconstituted with 0.2ml sterile DI water 100 ug 439
Bulk quote request
IHC staining of FFPE human breast cancer with BTC antibody at 1ug/ml. HIER: boil tissue sections in pH6, 10mM citrate buffer, for 10-20 min followed by cooling at RT for 20 min.
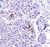
IHC staining of FFPE human pancreatic cancer with BTC antibody at 1ug/ml. HIER: boil tissue sections in pH6, 10mM citrate buffer, for 10-20 min followed by cooling at RT for 20 min.
Western blot testing of human recombinant partial protein with BTC antibody.
Availability 1-3 business days
Species Reactivity Human
Format Antigen affinity purified
Clonality Polyclonal (rabbit origin)
Isotype Rabbit IgG
Purity Antigen affinity purified
Buffer Lyophilized from 1X PBS with 2% Trehalose and 0.025% sodium azide
UniProt P35070
Localization Plasma membrane, secreted
Applications Western Blot : 0.5-1ug/ml
Immunohistochemistry (FFPE) : 1-2ug/ml
Limitations This BTC antibody is available for research use only.
Review this product on BioCompare and get a $20 Amazon gift card

Related Products

Description

Betacellulin is a protein that in humans is encoded by the BTC gene located on chromosome 4 at locus 4q13-q21. This gene encodes a member of the epidermal growth factor (EGF) family of proteins. Alternative splicing results in multiple transcript variants, at least one of which encodes a preproprotein that is proteolytically processed to generate the secreted growth factor. A secreted form and a membrane-anchored form of this protein bind to multiple different EGF receptors. This protein promotes pancreatic cell proliferation and insulin secretion, as well as retinal vascular permeability. Mutations in this gene may be associated with type 2 diabetes in human patients.

Application Notes

Optimal dilution of the BTC antibody should be determined by the researcher.

Immunogen

Amino acids D32-Y111 from the human protein were used as the immunogen for the BTC antibody.

Storage

After reconstitution, the BTC antibody can be stored for up to one month at 4oC. For long-term, aliquot and store at -20oC. Avoid repeated freezing and thawing.

Cross
Bulk Quote Request Form
Name*:
Organization*:
Email*:
Phone Number*:
Catalog No.*:
Comments and Specifics(amount, formulation, etc.)*:
Validation code: Captchapackage Image


Can't read the image? click here to refresh.
    *required field

Your bulk quote request has been submitted successfully!

Please contact us if you have any questions.