• Tel: 858.663.9055
  • SeparatorEmail: info@nsjbio.com
  • Tel: 858.663.9055
  • Email: info@nsjbio.com
Home >> Antibodies >> Bromodomain-containing protein 4 Antibody / BRD4

Bromodomain-containing protein 4 Antibody / BRD4 (RQ6828)

  Catalog No Formulation Size Price (USD)  
Image RQ6828 0.5mg/ml if reconstituted with 0.2ml sterile DI water 100 ug 439
Bulk quote request
Immunofluorescent staining of FFPE human PC-3 cells with Bromodomain-containing protein 4 antibody.
Immunofluorescent staining of FFPE human MCF7 cells with Bromodomain-containing protein 4 antibody.
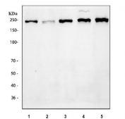
Western blot testing of human 1) 293T, 2) Jurkat, 3) K562, 4) MCF7, 5) PC-3 and 6) HL60 cell lysate with Bromodomain-containing protein 4 antibody. Predicted molecular weight ~156 kDa (long form, can be observed at 200+ kDa) and ~81 kDa (short form).
Western blot testing of 1) human HepG2, 2) human A549, 3) human MCF7, 4) rat C6 and 5) mouse NIH 3T3 cell lysate with Bromodomain-containing protein 4 antibody. Predicted molecular weight ~156 kDa (long form, can be observed at 200+ kDa) and ~81 kDa (short form).
Flow cytometry testing of human A549 cells with Bromodomain-containing protein 4 antibody at 1ug/million cells (blocked with goat sera); Red=cells alone, Green=isotype control, Blue= Bromodomain-containing protein 4 antibody.
Flow cytometry testing of human U-2 OS cells with Bromodomain-containing protein 4 antibody at 1ug/million cells (blocked with goat sera); Red=cells alone, Green=isotype control, Blue= Bromodomain-containing protein 4 antibody.
Flow cytometry testing of rat C6 cells with Bromodomain-containing protein 4 antibody at 1ug/million cells (blocked with goat sera); Red=cells alone, Green=isotype control, Blue= Bromodomain-containing protein 4 antibody.
Availability 1-3 business days
Species Reactivity Human, Mouse, Rat
Format Antigen affinity purified
Clonality Polyclonal (rabbit origin)
Isotype Rabbit IgG
Purity Antigen affinity purified
Buffer Lyophilized from 1X PBS with 2% Trehalose
UniProt O60885
Localization Nuclear
Applications Western Blot : 1-2ug/ml
Immunofluorescence (FFPE) : 5ug/ml
Flow Cytometry : 1-3ug/million cells
Limitations This Bromodomain-containing protein 4 antibody is available for research use only.
Review this product on BioCompare and get a $20 Amazon gift card

Related Products

Description

Bromodomain-containing protein 4 is a protein that in humans is encoded by the BRD4 gene. The protein encoded by this gene is homologous to the murine protein MCAP, which associates with chromosomes during mitosis, and to the human RING3 protein, a serine/threonine kinase. Each of these proteins contains two bromodomains, a conserved sequence motif which may be involved in chromatin targeting. This gene has been implicated as the chromosome 19 target of translocation t(15;19)(q13;p13.1), which defines an upper respiratory tract carcinoma in young people. Two alternatively spliced transcript variants have been described.

Application Notes

Optimal dilution of the Bromodomain-containing protein 4 antibody should be determined by the researcher.

Immunogen

Amino acids QRPEMKPVDVGRPVIRPPEQ from the human protein were used as the immunogen for the Bromodomain-containing protein 4 antibody.

Storage

After reconstitution, the Bromodomain-containing protein 4 antibody can be stored for up to one month at 4oC. For long-term, aliquot and store at -20oC. Avoid repeated freezing and thawing.

Cross
Bulk Quote Request Form
Name*:
Organization*:
Email*:
Phone Number*:
Catalog No.*:
Comments and Specifics(amount, formulation, etc.)*:
Validation code: Captchapackage Image


Can't read the image? click here to refresh.
    *required field

Your bulk quote request has been submitted successfully!

Please contact us if you have any questions.