• Tel: 858.663.9055
  • SeparatorEmail: info@nsjbio.com
  • Tel: 858.663.9055
  • Email: info@nsjbio.com
Home >> Antibodies >> BRM Antibody / SMARCA2

BRM Antibody / SMARCA2 [clone 3G3] (RQ5943)

  Catalog No Formulation Size Price (USD)  
Image RQ5943 0.5mg/ml if reconstituted with 0.2ml sterile DI water 100 ug 439
Bulk quote request
Flow cytometry testing of human A431 cells with BRM antibody at 1ug/million cells (blocked with goat sera); Red=cells alone, Green=isotype control, Blue= BRM antibody.
Immunofluorescent staining of FFPE human A549 cells with BRM antibody (green) and DAPI nuclear stain (blue). HIER: steam section in pH6 citrate buffer for 20 min.
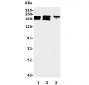
Western blot testing of human 1) HeLa, 2) ThP-1 and 3) U-87 MG lysate with BRM antibody. Predicted molecular weight ~181 kDa.
Availability 1-3 business days
Species Reactivity Human
Format Antigen affinity purified
Clonality Monoclonal (mouse origin)
Isotype Mouse IgG2a
Clone Name 3G3
Purity Affinity purified
Buffer Lyophilized from 1X PBS with 2% Trehalose and 0.025% sodium azide
UniProt P51531
Applications Western Blot : 0.5-1ug/ml
Immunofluorescence : 2-4ug/ml
Flow Cytometry : 1-3ug/million cells
Limitations This BRM antibody is available for research use only.
Review this product on BioCompare and get a $20 Amazon gift card

Related Products

  • Applications : WB, IF
    Reactivity : Human
  • Applications : WB
    Reactivity : Human, Mouse, Rat
  • Applications : WB, FACS, Direct ELISA
    Reactivity : Human, Mouse, Rat
  • Applications : WB, IHC-P, IF, FACS, Direct ELISA
    Reactivity : Human, Mouse, Rat

Description

Probable global transcription activator SNF2L2 is a protein that in humans is encoded by the SMARCA2 gene. It is mapped to 9p24.3. The protein encoded by this gene is a member of the SWI/SNF family of proteins and is highly similar to the brahma protein of Drosophila. Members of this family have helicase and ATPase activities and are thought to regulate transcription of certain genes by altering the chromatin structure around those genes. The encoded protein is part of the large ATP-dependent chromatin remodeling complex SNF/SWI, which is required for transcriptional activation of genes normally repressed by chromatin. Alternatively spliced transcript variants encoding different isoforms have been found for this gene, which contains a trinucleotide repeat (CAG) length polymorphism.

Application Notes

Optimal dilution of the BRM antibody should be determined by the researcher.

Immunogen

Recombinant human protein (amino acids Q181-N624) was used as the immunogen for the BRM antibody.

Storage

After reconstitution, the BRM antibody can be stored for up to one month at 4oC. For long-term, aliquot and store at -20oC. Avoid repeated freezing and thawing.

Cross
Bulk Quote Request Form
Name*:
Organization*:
Email*:
Phone Number*:
Catalog No.*:
Comments and Specifics(amount, formulation, etc.)*:
Validation code: Captchapackage Image


Can't read the image? click here to refresh.
    *required field

Your bulk quote request has been submitted successfully!

Please contact us if you have any questions.