• Tel: 858.663.9055
  • SeparatorEmail: info@nsjbio.com
  • Tel: 858.663.9055
  • Email: info@nsjbio.com
Home >> Antibodies >> BrdU Antibody

BrdU Antibody [clone BU20a] (V3127)

  Catalog No Formulation Size Price (USD)  
Image V3127-100UG 0.2 mg/ml in 1X PBS with 0.1 mg/ml BSA (US sourced) and 0.05% sodium azide 100 ug 539
Image
V3127-20UG 0.2 mg/ml in 1X PBS with 0.1 mg/ml BSA (US sourced) and 0.05% sodium azide 20 ug 249
Image
V3127SAF-100UG 1 mg/ml in 1X PBS; BSA free, sodium azide free 100 ug 539
Image
V3127IHC-7ML Prediluted in 1X PBS with 0.1 mg/ml BSA (US sourced) and 0.05% sodium azide; *For IHC use only* 7 ml 539
Bulk quote request
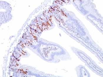
IHC: Formalin-fixed, paraffin-embedded mouse small intestine stained with BrdU antibody (BU20a).
Availability 1-3 business days
Species Reactivity All species
Format Purified
Clonality Monoclonal (mouse origin)
Isotype Mouse IgG1, kappa
Clone Name BU20a
Purity Protein G affinity chromatography
Localization Nuclear
Applications Flow Cytometry : 0.5-1ug/10^6 cells
Immunofluorescence : 0.5-1ug/ml
Immunohistochemistry (FFPE) : 0.5-1ug/ml for 30 min at RT
Limitations This BrdU antibody is available for research use only.
Review this product on BioCompare and get a $20 Amazon gift card

Related Products

Description

It reacts with Bromodeoxyuridine (BrdU) in single stranded DNA (produced by partial denaturation of double stranded DNA), BrdU coupled to a protein carrier, as well as free BrdU. BrdU is a thymidine analog, incorporated into cell nuclei during DNA synthesis prior to mitosis. Antibody to BrdU is helpful in detecting S-phase cells, providing useful information on the aggressiveness of tumors.

Application Notes

The optimal dilution of the BrdU antibody for each application should be determined by the researcher.

1. For staining of formalin-fixed tissues, incubate sections in 4N HCl for 30 minutes at RT followed by digestion with Trypsin at 1mg/ml PBS, 10 min at 37oC.
2. The prediluted format is supplied in a dropper bottle and is optimized for use in IHC. After epitope retrieval step (if required), drip mAb solution onto the tissue section and incubate at RT for 30 min.

Immunogen

Bromodeoxyuridine was used as the immunogen for this BrdU antibody.

Storage

Store the BrdU antibody at 2-8oC (with azide) or aliquot and store at -20oC or colder (without azide).

Cross
Bulk Quote Request Form
Name*:
Organization*:
Email*:
Phone Number*:
Catalog No.*:
Comments and Specifics(amount, formulation, etc.)*:
Validation code: Captchapackage Image


Can't read the image? click here to refresh.
    *required field

Your bulk quote request has been submitted successfully!

Please contact us if you have any questions.