• Tel: 858.663.9055
  • SeparatorEmail: info@nsjbio.com
  • Tel: 858.663.9055
  • Email: info@nsjbio.com
Home >> Antibodies >> BOB-1 Antibody

BOB-1 Antibody (R30579)

  Catalog No Formulation Size Price (USD)  
Image R30579 0.5mg/ml if reconstituted with 0.2ml sterile DI water 100 ug 439
Bulk quote request
Western blot testing of BOB-1 antibody and Lane 1: rat spleen tissue lysate. Predicted molecular weight: ~28/35-40kDa (unmodified/ubiquitinated).
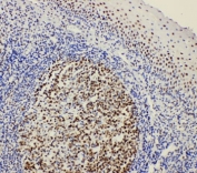
IHC-P: BOB-1 antibody testing of rat tonsil tissue
Availability 1-3 business days
Species Reactivity Mouse, Rat
Format Antigen affinity purified
Clonality Polyclonal (rabbit origin)
Isotype Rabbit IgG
Purity Antigen affinity
Buffer Lyophilized from 1X PBS with 2.5% BSA and 0.025% sodium azide/thimerosal
UniProt Q64693
Applications Western Blot : 0.5-1ug/ml
IHC (FFPE) : 0.5-1ug/ml
Limitations This BOB-1 antibody is available for research use only.
Review this product on BioCompare and get a $20 Amazon gift card

Related Products

Description

POU2AF1(POU domain class 2-associating factor 1), also known as OBF1, BOB-1 and OCAB, is a protein that in humans is encoded by the POU2AF1 gene. POU domain proteins contain a bipartite DNA-binding domain divided by a flexible linker that enables them to adopt various monomer configurations on DNA. The versatility of POU protein operation is additionally conferred at the dimerization level. Casellas et al.(2002) reported that OCAB is essential for V(D)J recombination of a subset of Ig-kappa genes. They showed that OCAB modulates recombination by directly enhancing Ig-kappa gene transcription in vivo. Siegel et al.(2006) suggested that, together with dysregulation of other OCAB target genes, altered regulation of SYK may help explain the magnitude of defects observed in B-cell development, including the pre-B1-to-pre-B2 transition, and immune responses in Ocab -/- mice.

Application Notes

The stated application concentrations are suggested starting amounts. Titration of the BOB-1 antibody may be required due to differences in protocols and secondary/substrate sensitivity.

Immunogen

An amino acid sequence from the C-terminus of mouse BOB-1 (EEEESNTYELNHTLSVEGF) was used as the immunogen for this BOB-1 antibody.

Storage

After reconstitution, the BOB-1 antibody can be stored for up to one month at 4oC. For long-term, aliquot and store at -20oC. Avoid repeated freezing and thawing.

Cross
Bulk Quote Request Form
Name*:
Organization*:
Email*:
Phone Number*:
Catalog No.*:
Comments and Specifics(amount, formulation, etc.)*:
Validation code: Captchapackage Image


Can't read the image? click here to refresh.
    *required field

Your bulk quote request has been submitted successfully!

Please contact us if you have any questions.