• Tel: 858.663.9055
  • SeparatorEmail: info@nsjbio.com
  • Tel: 858.663.9055
  • Email: info@nsjbio.com
Home >> Antibodies >> BOB-1 Antibody

BOB-1 Antibody [clone BOB1/2424] (V3902)

  Catalog No Formulation Size Price (USD)  
Image V3902-100UG 0.2 mg/ml in 1X PBS with 0.1 mg/ml BSA (US sourced) and 0.05% sodium azide 100 ug 539
Image
V3902-20UG 0.2 mg/ml in 1X PBS with 0.1 mg/ml BSA (US sourced) and 0.05% sodium azide 20 ug 249
Image
V3902SAF-100UG 1 mg/ml in 1X PBS; BSA free, sodium azide free 100 ug 539
Microvalidated
Bulk quote request
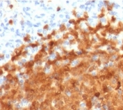
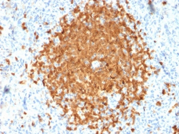
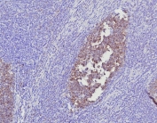
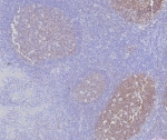
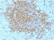
IHC testing of FFPE human spleen with BOB-1 antibody (clone BOB1/2424). HIER: boil tissue sections in pH 9 10mM Tris with 1mM EDTA for 10-20 min followed by cooling at RT for 20 min.
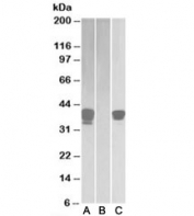
Western blot testing of human Raji cell lysate with BOB-1 antibody (clone BOB1/2424). Predicted molecular weight: ~28 kDa (unmodified), 35-40 kDa (ubiquitinated).
Immunofluorescent staining of PFA-fixed human Raji cells with BOB-1 antibody (green, clone BOB1/2424) and Reddot nuclear stain.
Flow cytometry testing of PFA-fixed human Raji cells with BOB-1 antibody (clone BOB1/2424); Red=isotype control, Blue= BOB-1 antibody.
Analysis of HuProt(TM) microarray containing more than 19,000 full-length human proteins using BOB-1 antibody (clone BOB1/2424). These results demonstrate the foremost specificity of the BOB1/2424 mAb.
Z- and S- score: The Z-score represents the strength of a signal that an antibody (in combination with a fluorescently-tagged anti-IgG secondary Ab) produces when binding to a particular protein on the HuProt(TM) array. Z-scores are described in units of standard deviations (SD's) above the mean value of all signals generated on that array. If the targets on the HuProt(TM) are arranged in descending order of the Z-score, the S-score is the difference (also in units of SD's) between the Z-scores. The S-score therefore represents the relative target specificity of an Ab to its intended target.
SDS-PAGE analysis of purified, BSA-free BOB-1 antibody (clone BOB1/2424) as confirmation of integrity and purity.
Availability 1-3 business days
Species Reactivity Human
Format Purified
Clonality Monoclonal (mouse origin)
Isotype Mouse IgG2b, kappa
Clone Name BOB1/2424
Purity Protein G affinity
UniProt Q16633
Localization Nuclear
Applications Flow Cytometry : 1-2ug/ml
Immunofluorescence : 1-2ug/ml
Western Blot : 1-2ug/ml
Immunohistochemistry (FFPE) : 1-2ug/ml for 30 min at RT
Limitations This BOB-1 antibody is available for research use only.
Review this product on BioCompare and get a $20 Amazon gift card

Related Products

Description

BOB-1, also called POU2AF1, expression in a variety of established B-cell lines, representing different stages of B-cell development, has suggested a constitutive, B-cell-specific expression pattern. LP cells in nodular lymphocyte predominant Hodgkin lymphoma, because they are germinal center-derived, are consistently immuno-positive for BOB-1. Conversely, only some cases of classical Hodgkin lymphoma show BOB-1 immuno-reactivity within the Hodgkin and Reed-Sternberg cells. Expression of BOB-1 has been reported in follicular center cell lymphoma, diffuse large B-cell lymphoma and some cases of acute myeloid leukemia. B-CLL, marginal zone lymphoma, and mantle cell lymphoma may show weak to moderate immunoreactivity.

Application Notes

Optimal dilution of the BOB-1 antibody should be determined by the researcher.

Immunogen

A portion of amino acids 148-255 from the human protein was used as the immunogen for the BOB-1 antibody.

Storage

Store the BOB-1 antibody at 2-8oC (with azide) or aliquot and store at -20oC or colder (without azide).

Cross
Bulk Quote Request Form
Name*:
Organization*:
Email*:
Phone Number*:
Catalog No.*:
Comments and Specifics(amount, formulation, etc.)*:
Validation code: Captchapackage Image


Can't read the image? click here to refresh.
    *required field

Your bulk quote request has been submitted successfully!

Please contact us if you have any questions.