• Tel: 858.663.9055
  • SeparatorEmail: info@nsjbio.com
  • Tel: 858.663.9055
  • Email: info@nsjbio.com
Home >> Antibodies >> BNP Antibody / Brain Natriuretic Peptide / NPPB

BNP Antibody / Brain Natriuretic Peptide / NPPB [clone NPPB/4493] (V9688)

  Catalog No Formulation Size Price (USD)  
Image V9688-100UG 0.2 mg/ml in 1X PBS with 0.1 mg/ml BSA (US sourced), 0.05% sodium azide 100 ug 539
Image
V9688-20UG 0.2 mg/ml in 1X PBS with 0.1 mg/ml BSA (US sourced), 0.05% sodium azide 20 ug 249
Image
V9688SAF-100UG 1 mg/ml in 1X PBS; BSA free, sodium azide free 100 ug 539
Microvalidated
Bulk quote request
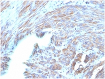
IHC staining of FFPE human uterus with BNP antibody (clone NPPB/4493). HIER: boil tissue sections in pH 9 10mM Tris with 1mM EDTA for 20 min and allow to cool before testing.
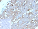
IHC staining of FFPE human heart tissue with BNP antibody (clone NPPB/4493). Negative control inset: PBS instead of primary antibody to control for secondary binding. HIER: boil tissue sections in pH 9 10mM Tris with 1mM EDTA for 20 min and allow to cool before testing.
SDS-PAGE analysis of purified, BSA-free BNP antibody (clone NPPB/4493) as confirmation of integrity and purity.
Analysis of HuProt(TM) microarray containing more than 19,000 full-length human proteins using BNP antibody (clone NPPB/4493). These results demonstrate the foremost specificity of the NPPB/4493 mAb. Z- and S- score: The Z-score represents the strength of a signal that an antibody (in combination with a fluorescently-tagged anti-IgG secondary Ab) produces when binding to a particular protein on the HuProt(TM) array. Z-scores are described in units of standard deviations (SD's) above the mean value of all signals generated on that array. If the targets on the HuProt(TM) are arranged in descending order of the Z-score, the S-score is the difference (also in units of SD's) between the Z-scores. The S-score therefore represents the relative target specificity of an Ab to its intended target.
Availability 1-3 business days
Species Reactivity Human
Format Purified
Clonality Monoclonal (mouse origin)
Isotype Mouse IgG1, kappa
Clone Name NPPB/4493
Purity Protein A/G affinity
UniProt P16860
Localization Secreted
Applications Immunohistochemistry (FFPE) : 1-2ug/ml
Limitations This BNP antibody is available for research use only.
Review this product on BioCompare and get a $20 Amazon gift card

Description

Natriuretic peptides comprise a family of three structurally related molecules: atrial natriuretic peptide (ANP), brain natriuretic peptide (BNP) and C-type natriuretic peptide (CNP). ANP and BNP act mainly as cardiac hormones, produced primarily by the atrium and ventricle, respectively, while the gene encoding C-type natriuretic peptide is expressed mainly in the brain. These peptides possess potent natriuretic, diuretic and vasodilating activities and are implicated in body fluid homeostasis and blood pressure control. ANP, BNP and CNP are highly homologous within the 17-residue ring structure formed by an intramolecular disulfide linkage. The genes which encode for ANP and BNP map to human chromosome 1p36.22. The gene which encodes for CNP maps to human chromosome 2q37.1.

Application Notes

Optimal dilution of the BNP antibody should be determined by the researcher.

Immunogen

A recombinant protein fragment was used as the immunogen for the BNP antibody.

Storage

Aliquot the BNP antibody and store frozen at -20oC or colder. Avoid repeated freeze-thaw cycles.

Cross
Bulk Quote Request Form
Name*:
Organization*:
Email*:
Phone Number*:
Catalog No.*:
Comments and Specifics(amount, formulation, etc.)*:
Validation code: Captchapackage Image


Can't read the image? click here to refresh.
    *required field

Your bulk quote request has been submitted successfully!

Please contact us if you have any questions.