• Tel: 858.663.9055
  • SeparatorEmail: info@nsjbio.com
  • Tel: 858.663.9055
  • Email: info@nsjbio.com
Home >> Antibodies >> BNIP3L Antibody / Nix

BNIP3L Antibody / Nix (F54613)

  Catalog No Formulation Size Price (USD)  
Image F54613-0.4ML In 1X PBS, pH 7.4, with 0.09% sodium azide 0.4 ml 429
Image
F54613-0.08ML In 1X PBS, pH 7.4, with 0.09% sodium azide 0.08 ml 199
Bulk quote request
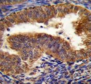
IHC testing of FFPE human uterus tissue with BNIP3L antibody. HIER: steam section in pH6 citrate buffer for 20 min and allow to cool prior to staining.
Immunofluorescent staining of human A549 cells with BNIP3L antibody (green), DAPI nuclear stain (blue) and anti-Actin (red).
Western blot testing of human A549 cell lysate with BNIP3L antibody. Expected molecular weight: ~38 kDa (monomer), ~76 kDa (homodimer).
Flow cytometry testing of human A549 cells with BNIP3L antibody; Blue=isotype control, Green= BNIP3L antibody.
Availability 1-3 business days
Species Reactivity Human
Format Purified
Clonality Polyclonal (rabbit origin)
Isotype Rabbit Ig
Purity Antigen affinity purified
UniProt O60238
Localization Cytoplasmic, nuclear
Applications Flow Cytometry : 1:25 (1x10e6 cells)
Immunofluorescence : 1:25
Immunohistochemistry (FFPE) : 1:25
Western Blot : 1:500-1:2000
Limitations This BNIP3L antibody is available for research use only.
Review this product on BioCompare and get a $20 Amazon gift card

Related Products

Description

This gene is a member of the BCL2/adenovirus E1B 19 kd-interacting protein (BNIP) family. It interacts with the E1B 19 kDa protein which is responsible for the protection of virally-induced cell death, as well as E1B 19 kDa-like sequences of BCL2, also an apoptotic protector. The protein encoded by this gene is a functional homolog of BNIP3, a proapoptotic protein. This protein may function simultaneously with BNIP3 and may play a role in tumor suppression.

Application Notes

The stated application concentrations are suggested starting points. Titration of the BNIP3L antibody may be required due to differences in protocols and secondary/substrate sensitivity.

Immunogen

A portion of amino acids 52-81 from the human protein was used as the immunogen for the BNIP3L antibody.

Storage

Aliquot the BNIP3L antibody and store frozen at -20oC or colder. Avoid repeated freeze-thaw cycles.

Cross
Bulk Quote Request Form
Name*:
Organization*:
Email*:
Phone Number*:
Catalog No.*:
Comments and Specifics(amount, formulation, etc.)*:
Validation code: Captchapackage Image


Can't read the image? click here to refresh.
    *required field

Your bulk quote request has been submitted successfully!

Please contact us if you have any questions.