• Tel: 858.663.9055
  • SeparatorEmail: info@nsjbio.com
  • Tel: 858.663.9055
  • Email: info@nsjbio.com
Home >> Antibodies >> BNIP3L Antibody / Nix

BNIP3L Antibody / Nix (F53746)

  Catalog No Formulation Size Price (USD)  
Image F53746-0.4ML In 1X PBS, pH 7.4, with 0.09% sodium azide 0.4 ml 429
Image
F53746-0.08ML In 1X PBS, pH 7.4, with 0.09% sodium azide 0.08 ml 199
Bulk quote request
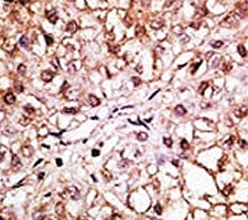
IHC analysis of FFPE human hepatocarcinoma tissue stained with the BNIP3L antibody
Availability 1-3 business days
Species Reactivity Human, Mouse
Format Purified
Clonality Polyclonal (rabbit origin)
Isotype Rabbit Ig
Purity Purified
UniProt O60238
Applications IHC (Paraffin) : 1:50-1:100
Limitations This BNIP3L antibody is available for research use only.
Review this product on BioCompare and get a $20 Amazon gift card

Related Products

Description

BNIP3L is a member of the BCL2/adenovirus E1B 19 kd-interacting protein (BNIP) family. It interacts with the E1B 19 kDa protein which is responsible for the protection of virally-induced cell death, as well as E1B 19 kDa-like sequences of BCL2, also an apoptotic protector. The protein encoded by this gene is a functional homolog of BNIP3, a proapoptotic protein. This protein may function simultaneously with BNIP3 and may play a role in tumor suppression.

Application Notes

Titration of the BNIP3L antibody may be required due to differences in protocols and secondary/substrate sensitivity.

Immunogen

A portion of amino acids 122-152 from the human protein (BH3 domain) was used as the immunogen for this BNIP3L antibody.

Storage

Aliquot the BNIP3L antibody and store frozen at -20oC or colder. Avoid repeated freeze-thaw cycles.

Cross
Bulk Quote Request Form
Name*:
Organization*:
Email*:
Phone Number*:
Catalog No.*:
Comments and Specifics(amount, formulation, etc.)*:
Validation code: Captchapackage Image


Can't read the image? click here to refresh.
    *required field

Your bulk quote request has been submitted successfully!

Please contact us if you have any questions.