• Tel: 858.663.9055
  • SeparatorEmail: info@nsjbio.com
  • Tel: 858.663.9055
  • Email: info@nsjbio.com
Home >> Antibodies >> BMP3 Antibody

BMP3 Antibody (F45376)

  Catalog No Formulation Size Price (USD)  
Image F45376-0.4ML In 1X PBS, pH 7.4, with 0.09% sodium azide 0.4 ml 429
Image
F45376-0.08ML In 1X PBS, pH 7.4, with 0.09% sodium azide 0.08 ml 199
Bulk quote request
Western blot analysis of BMP3 antibody and 293 lysate. Predicted molecular weight ~55 kDa.
Western blot analysis of BMP3 antibody and 293 cell lysate (2 ug/lane) either nontransfected (Lane 1) or transiently transfected with the BMP3 gene (2).
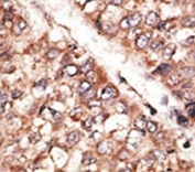
IHC analysis of FFPE human hepatocarcinoma tissue stained with the BMP3 antibody
Availability 1-3 business days
Species Reactivity Human
Format Purified
Clonality Polyclonal (rabbit origin)
Isotype Rabbit Ig
Purity Purified
UniProt P12645
Applications Western Blot : 1:1000
IHC (Paraffin) : 1:50-1:100
Limitations This BMP3 antibody is available for research use only.
Review this product on BioCompare and get a $20 Amazon gift card

Related Products

  • Applications : WB, ELISA
    Reactivity : Human

Description

The BMPs belong to the TGF-Beta superfamilyBMPs stimulate the production of bone matrix proteins and thereby alter stromal cell and osteoclast proliferation, a key step in bone marrow development. In addition to promoting ectopic bone and cartilage development, BMPs regulate the growth, differentiation, chemotaxis, proliferation, and apoptosis of various cell types, including mesenchymal cells, epithelial cells, hematopoietic cells, and neuronal cells. BMPs also play a role in dorsal/ventral patterning. BMP3, highly expressed in lung, ovary and small intestine, participates in cartilage and bone formation. BMP3 and BMP2 genes map to conserved regions between human and mouse.

Application Notes

Titration of the BMP3 antibody may be required due to differences in protocols and secondary/substrate sensitivity.

Immunogen

A portion of amino acids 8-36 from the human protein was used as the immunogen for this BMP3 antibody.

Storage

Aliquot the BMP3 antibody and store frozen at -20oC or colder. Avoid repeated freeze-thaw cycles.

Cross
Bulk Quote Request Form
Name*:
Organization*:
Email*:
Phone Number*:
Catalog No.*:
Comments and Specifics(amount, formulation, etc.)*:
Validation code: Captchapackage Image


Can't read the image? click here to refresh.
    *required field

Your bulk quote request has been submitted successfully!

Please contact us if you have any questions.