• Tel: 858.663.9055
  • SeparatorEmail: info@nsjbio.com
  • Tel: 858.663.9055
  • Email: info@nsjbio.com
Home >> Antibodies >> BMP2 Antibody / Bone morphogenetic protein 2

BMP2 Antibody / Bone morphogenetic protein 2 [clone AOHD-2] (RQ5386)

  Catalog No Formulation Size Price (USD)  
Image RQ5386 Antibody in PBS with 0.02% sodium azide, 50% glycerol and 0.4-0.5mg/ml BSA 100 ul 439
Microvalidated Rab Mono Image
Bulk quote request
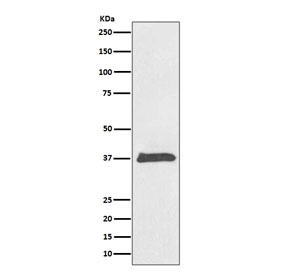
Western blot testing of human HeLa cell lysate with BMP2 antibody. Expected molecular weight: 13-14 kDa per monomer.
Availability 1-2 weeks
Species Reactivity Human
Format Purified
Clonality Rabbit Monoclonal
Isotype Rabbit IgG
Clone Name AOHD-2
Purity Affinity purified
UniProt P12643
Applications Western Blot : 1:500-1:2000
Limitations This BMP2 antibody is available for research use only.
Review this product on BioCompare and get a $20 Amazon gift card

Related Products

Description

The BMP2 gene encodes a secreted ligand of the TGF-beta (transforming growth factor-beta) superfamily of proteins. Ligands of this family bind various TGF-beta receptors leading to recruitment and activation of SMAD family transcription factors that regulate gene expression. The encoded preproprotein is proteolytically processed to generate each subunit of the disulfide-linked homodimer, which plays a role in bone and cartilage development. Duplication of a regulatory region downstream of this gene causes a form of brachydactyly characterized by a malformed index finger and second toe in human patients. [RefSeq]

Application Notes

Optimal dilution of the BMP2 antibody should be determined by the researcher.

Immunogen

A synthetic peptide specific to human BMP2 was used as the immunogen for the BMP2 antibody.

Storage

Store the BMP2 antibody at -20oC.

Cross
Bulk Quote Request Form
Name*:
Organization*:
Email*:
Phone Number*:
Catalog No.*:
Comments and Specifics(amount, formulation, etc.)*:
Validation code: Captchapackage Image


Can't read the image? click here to refresh.
    *required field

Your bulk quote request has been submitted successfully!

Please contact us if you have any questions.