• Tel: 858.663.9055
  • SeparatorEmail: info@nsjbio.com
  • Tel: 858.663.9055
  • Email: info@nsjbio.com
Home >> Antibodies >> BMP1 Antibody

BMP1 Antibody (F45359)

  Catalog No Formulation Size Price (USD)  
Image F45359-0.4ML In 1X PBS, pH 7.4, with 0.09% sodium azide 0.4 ml 429
Image
F45359-0.08ML In 1X PBS, pH 7.4, with 0.09% sodium azide 0.08 ml 199
Bulk quote request
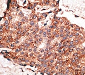
IHC analysis of FFPE human breast carcinoma tissue stained with the BMP1 antibody
BMP1 antibody western blot analysis in mouse liver tissue lysate. Predicted molecular weight: ~111 kDa.
Availability 1-3 business days
Species Reactivity Mouse
Format Purified
Clonality Polyclonal (rabbit origin)
Isotype Rabbit Ig
Purity Purified
UniProt P13497
Applications IHC (Paraffin) : 1:50-1:100
Western Blot : 1:1000
Limitations This BMP1 antibody is available for research use only.
Review this product on BioCompare and get a $20 Amazon gift card

Related Products

Description

The BMP1 locus encodes a protein that is capable of inducing formation of cartilage in vivo. Although other bone morphogenetic proteins are members of the TGF-beta superfamily, BMP1 encodes a protein that is not closely related to other known growth factors. BMP1 protein and procollagen C proteinase (PCP), a secreted metalloprotease requiring calcium and needed for cartilage and bone formation, are identical. PCP or BMP1 protein cleaves the C-terminal propeptides of procollagen I, II, and III and its activity is increased by the procollagen C-endopeptidase enhancer protein. The BMP1 gene is expressed as alternatively spliced variants that share an N-terminal protease domain but differ in their C-terminal region.

Application Notes

Titration of the BMP1 antibody may be required due to differences in protocols and secondary/substrate sensitivity.

Immunogen

A portion of amino acids 957-986 from the human protein was used as the immunogen for this BMP1 antibody.

Storage

Aliquot the BMP1 antibody and store frozen at -20oC or colder. Avoid repeated freeze-thaw cycles.

Cross
Bulk Quote Request Form
Name*:
Organization*:
Email*:
Phone Number*:
Catalog No.*:
Comments and Specifics(amount, formulation, etc.)*:
Validation code: Captchapackage Image


Can't read the image? click here to refresh.
    *required field

Your bulk quote request has been submitted successfully!

Please contact us if you have any questions.