• Tel: 858.663.9055
  • SeparatorEmail: info@nsjbio.com
  • Tel: 858.663.9055
  • Email: info@nsjbio.com
Home >> Antibodies >> BMI1 Antibody

BMI1 Antibody [clone BMI1/2689] (V7349)

  Catalog No Formulation Size Price (USD)  
Image V7349-100UG 0.2 mg/ml in 1X PBS with 0.1 mg/ml BSA (US sourced) and 0.05% sodium azide 100 ug 539
Image
V7349-20UG 0.2 mg/ml in 1X PBS with 0.1 mg/ml BSA (US sourced) and 0.05% sodium azide 20 ug 249
Image
V7349SAF-100UG 1 mg/ml in 1X PBS; BSA free, sodium azide free 100 ug 539
Image
V7349IHC-7ML Prediluted in 1X PBS with 0.1 mg/ml BSA (US sourced) and 0.05% sodium azide; *For IHC use only* 7 ml 539
Microvalidated
Bulk quote request
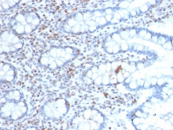
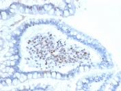
IHC testing of FFPE human colon carcinoma with BMI1 antibody (clone BMI1/2689). HIER: boil tissue sections in pH 9 10mM Tris with 1mM EDTA for 10-20 min followed by cooling at RT for 20 min.
IHC testing of FFPE human colon carcinoma with BMI1 antibody (clone BMI1/2689). HIER: boil tissue sections in pH 9 10mM Tris with 1mM EDTA for 10-20 min followed by cooling at RT for 20 min.
Western blot testing of human 293T lysate with BMI1 antibody (clone BMI1/2689). Expected molecular weight: 37-43 kDa.
Analysis of HuProt(TM) microarray containing more than 19,000 full-length human proteins using Bcl6 antibody (clone BMI1/2689). These results demonstrate the foremost specificity of the BMI1/2689 mAb.
Z- and S- score: The Z-score represents the strength of a signal that an antibody (in combination with a fluorescently-tagged anti-IgG secondary Ab) produces when binding to a particular protein on the HuProt(TM) array. Z-scores are described in units of standard deviations (SD's) above the mean value of all signals generated on that array. If the targets on the HuProt(TM) are arranged in descending order of the Z-score, the S-score is the difference (also in units of SD's) between the Z-scores. The S-score therefore represents the relative target specificity of an Ab to its intended target.
SDS-PAGE analysis of purified, BSA-free BMI1 antibody (clone BMI1/2689) as confirmation of integrity and purity.
Availability 1-3 business days
Species Reactivity Human
Format Purified
Clonality Monoclonal (mouse origin)
Isotype Mouse IgG1, kappa
Clone Name BMI1/2689
Purity Protein G affinity chromatography
UniProt P35226
Localization Nuclear
Applications Western Blot : 1-2ug/ml
Immunohistochemistry (FFPE) : 1-2ug/ml for 30 min at RT
Limitations This BMI1 antibody is available for research use only.
Review this product on BioCompare and get a $20 Amazon gift card

Related Products

  • Applications : IHC-P
    Reactivity : Human
    Microvalidated
  • Applications : WB, IF, IHC-P
    Reactivity : Human, Mouse
    Microvalidated
  • Applications : WB, IF, ELISA
    Reactivity : Human
  • Applications : IHC-P, WB
    Reactivity : Human
  • Applications : WB
    Reactivity : Human
  • Applications : WB
    Reactivity : Human, Mouse, Rat
  • Applications : WB, IHC, ELISA
    Reactivity : Human
    Pred. Reactivity : Mouse, Bovine, Chicken
  • Applications : FACS, WB, IHC, IF, ELISA
    Reactivity : Human
  • Applications : WB, ELISA
    Reactivity : Human
  • Applications : WB, ELISA (peptide)
    Reactivity : Human
    Pred. Reactivity : Cow, Dog, Pig
  • Applications : WB, ELISA (peptide)
    Reactivity : Human, Mouse, Pig
    Pred. Reactivity : Dog

Description

The B cell-specific moloney murine leukemia virus integration site 1 (Bmi-1) is a transcriptional receptor of the polycomb gene family involved in several cellular processes including cell-cycle regulation, apoptosis, and maintenance of adult and neoplastic stem cells by providing self-renewal capacity. Further, Bmi-1 expression has been associated with malignant transformation, tumor progression, metastatic disease, and poor prognosis in human malignancies.

Application Notes

Optimal dilution of the BMI1 antibody should be determined by the researcher.

1. The prediluted format is supplied in a dropper bottle and is optimized for use in IHC. After epitope retrieval step (if required), drip mAb solution onto the tissue section and incubate at RT for 30 min.

Immunogen

A portion of amino acids 142-326 from the human protein was used as the immunogen for the BMI1 antibody.

Storage

Store the BMI1 antibody at 2-8oC (with azide) or aliquot and store at -20oC or colder (without azide).

Cross
Bulk Quote Request Form
Name*:
Organization*:
Email*:
Phone Number*:
Catalog No.*:
Comments and Specifics(amount, formulation, etc.)*:
Validation code: Captchapackage Image


Can't read the image? click here to refresh.
    *required field

Your bulk quote request has been submitted successfully!

Please contact us if you have any questions.