• Tel: 858.663.9055
  • SeparatorEmail: info@nsjbio.com
  • Tel: 858.663.9055
  • Email: info@nsjbio.com
Home >> Antibodies >> Biotinylated HA-Tag Antibody

Biotinylated HA-Tag Antibody [clone RM305] (R20304BTN)

  Catalog No Formulation Size Price (USD)  
Image R20304BTN-50UG 1 mg/ml in PBS with 50% glycerol, 1% BSA and 0.09% sodium azide 50 ug 429
Microvalidated Recrabbitmono
Bulk quote request
Western blot testing of lysate from human 293T cells transfected with HA-tagged KRas protein with biotinylated HA-Tag antibody at 0.1ug/ml.
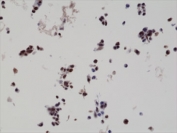
IHC staining of formalin fixed and paraffin embedded human LNCaP cells overexpressing HA-tag Bag1 protein, using biotinylated HA-Tag antibody at 0.01 ug/ml.
Availability 1-3 business days
Species Reactivity N/A
Format Biotin Conjugate
Clonality Recombinant Rabbit Monoclonal
Isotype Rabbit IgG
Clone Name RM305
Purity Protein A purified from animal origin-free supernatant
Applications Western Blot : 0.1ug/ml-1ug/ml
Immunoprecipitation : 0.5ug/ml-2ug/ml
Immunocytochemistry 0.1ug/ml-1ug/ml :
Immunohistochemistry (FFPE) : 0.01ug/ml-0.5ug/ml
Limitations This recombinant biotinylated HA-Tag antibody is available for research use only.
Review this product on BioCompare and get a $20 Amazon gift card

Related Products

Description

This antibody reacts to recombinant proteins containing a HA-Tag fused to either the amino or carboxy terminus. No cross reactivity with other endogenous protein.

Application Notes

The stated application concentrations are suggested starting points. Titration of the recombinant biotinylated HA-Tag antibody may be required due to differences in protocols and secondary/substrate sensitivity.

Immunogen

A peptide corresponding to HA-tag (Human influenza hemagglutinin amino acids 98-106) was used as the immunogen for the biotinylated HA-Tag antibody.

Storage

Store the recombinant biotinylated HA-Tag antibody at -20oC.

Cross
Bulk Quote Request Form
Name*:
Organization*:
Email*:
Phone Number*:
Catalog No.*:
Comments and Specifics(amount, formulation, etc.)*:
Validation code: Captchapackage Image


Can't read the image? click here to refresh.
    *required field

Your bulk quote request has been submitted successfully!

Please contact us if you have any questions.