• Tel: 858.663.9055
  • SeparatorEmail: info@nsjbio.com
  • Tel: 858.663.9055
  • Email: info@nsjbio.com
Home >> Antibodies >> Bid Antibody

Bid Antibody (F42703)

  Catalog No Formulation Size Price (USD)  
Image F42703-0.4ML In 1X PBS, pH 7.4, with 0.09% sodium azide 0.4 ml 429
Image
F42703-0.08ML In 1X PBS, pH 7.4, with 0.09% sodium azide 0.08 ml 199
Bulk quote request
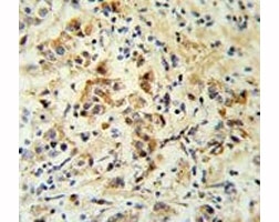
Bid antibody IHC analysis in formalin fixed and paraffin embedded human breast carcinoma.
Western blot analysis of Bid antibody and mouse spleen tissue lysate. Predicted molecular weight ~22 kDa.
Bid antibody flow analysis of MCF-7 cells (bottom histogram) compared to a negative control (top histogram). FITC-conjugated goat-anti-rabbit secondary Ab was used for the analysis.
Availability 1-3 business days
Species Reactivity Mouse
Format Antigen affinity purified
Clonality Polyclonal (rabbit origin)
Isotype Rabbit Ig
Purity Antigen affinity
UniProt P70444
Localization Cytoplasmic
Applications Western Blot : 1:1000
IHC (Paraffin) : 1:50-1:100
Flow Cytometry : 1:10-1:50
Limitations This Bid antibody is available for research use only.
Review this product on BioCompare and get a $20 Amazon gift card

Related Products

Description

Bid is a death agonist that heterodimerizes with either agonist BAX or antagonist BCL2. Bid is a member of the BCL-2 family of cell death regulators. It is a mediator of mitochondrial damage induced by caspase-8 (CASP8); CASP8 cleaves this encoded protein, and the COOH-terminal part translocates to mitochondria where it triggers cytochrome c release.

Application Notes

Titration of the Bid antibody may be required due to differences in protocols and secondary/substrate sensitivity.

Immunogen

A portion of amino acids 39-68 from the mouse protein was used as the immunogen for this Bid antibody.

Storage

Aliquot the Bid antibody and store frozen at -20oC or colder. Avoid repeated freeze-thaw cycles.

Cross
Bulk Quote Request Form
Name*:
Organization*:
Email*:
Phone Number*:
Catalog No.*:
Comments and Specifics(amount, formulation, etc.)*:
Validation code: Captchapackage Image


Can't read the image? click here to refresh.
    *required field

Your bulk quote request has been submitted successfully!

Please contact us if you have any questions.