• Tel: 858.663.9055
  • SeparatorEmail: info@nsjbio.com
  • Tel: 858.663.9055
  • Email: info@nsjbio.com
Home >> Antibodies >> Bid Antibody

Bid Antibody (F42702)

  Catalog No Formulation Size Price (USD)  
Image F42702-0.4ML In 1X PBS, pH 7.4, with 0.09% sodium azide 0.4 ml 429
Image
F42702-0.08ML In 1X PBS, pH 7.4, with 0.09% sodium azide 0.08 ml 199
Bulk quote request
Western blot analysis of Bid antibody and mouse lung tissue lysate. Predicted molecular weight ~22 kDa.
Western blot analysis of Bid antibody and 293 cell lysate (2 ug/lane) either nontransfected (Lane 1) or transiently transfected (2) with the Bid gene.
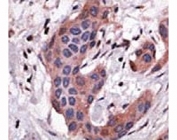
IHC analysis of FFPE human breast carcinoma tissue stained with the Bid antibody
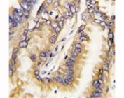
IHC analysis of FFPE human lung carcinoma tissue stained with Bid antibody
Availability 1-3 business days
Species Reactivity Human, Mouse
Format Purified
Clonality Polyclonal (rabbit origin)
Isotype Rabbit Ig
Purity Purified
UniProt P55957
Localization Cytoplasmic
Applications Western Blot : 1:1000
IHC (Paraffin) : 1:50-1:100
Limitations This Bid antibody is available for research use only.
Review this product on BioCompare and get a $20 Amazon gift card

Related Products

Description

The major proteolytic product p15 BID allows the release of cytochrome c (By similarity). Isoform 1, isoform 2 and isoform 4 induce ICE-like proteases and apoptosis. Isoform 3 does not induce apoptosis. Counters the protective effect of Bcl-2. [UniProt]

Application Notes

Titration of the Bid antibody may be required due to differences in protocols and secondary/substrate sensitivity.

Immunogen

A portion of amino acids 68-103 from the human protein (BH3 domain) was used as the immunogen for this Bid antibody.

Storage

Aliquot the Bid antibody and store frozen at -20oC or colder. Avoid repeated freeze-thaw cycles.

Cross
Bulk Quote Request Form
Name*:
Organization*:
Email*:
Phone Number*:
Catalog No.*:
Comments and Specifics(amount, formulation, etc.)*:
Validation code: Captchapackage Image


Can't read the image? click here to refresh.
    *required field

Your bulk quote request has been submitted successfully!

Please contact us if you have any questions.