• Tel: 858.663.9055
  • SeparatorEmail: info@nsjbio.com
  • Tel: 858.663.9055
  • Email: info@nsjbio.com
Home >> Antibodies >> Bid Antibody / BH3-Interacting Domain Death Agonist

Bid Antibody / BH3-Interacting Domain Death Agonist (R31459)

  Catalog No Formulation Size Price (USD)  
Image R31459 0.5mg/ml if reconstituted with 0.2ml sterile DI water 100 ug 439
Bulk quote request
Western blot testing of Bid antibody and human samples 1: HeLa; 2: COLO320; 3: Jurkat; 4: SKOV lysate. Expected/observed molecular weight ~22 kDa.
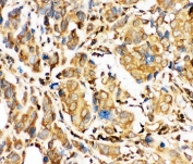
IHC-P: Bid antibody testing of human breast cancer tissue
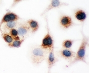
ICC testing of Bid antibody and human A549 cells.
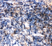
IHC-P: Bid antibody testing of mouse spleen tissue
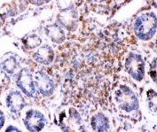
IHC-P: Bid antibody testing of rat intestine tissue
Availability 1-3 business days
Species Reactivity Human, Mouse, Rat
Format Antigen affinity purified
Clonality Polyclonal (rabbit origin)
Isotype Rabbit IgG
Purity Antigen affinity
Buffer Lyophilized from 1X PBS with 2.5% BSA and 0.025% sodium azide
Gene ID 637
Localization Cytoplasmic
Applications Western Blot : 0.5-1ug/ml (human)
IHC (FFPE) : 0.5-1ug/ml (human; mouse; rat)
Immunocytochemistry : 0.5-1ug/ml (human)
Limitations This Bid antibody is available for research use only.
Review this product on BioCompare and get a $20 Amazon gift card

Related Products

Description

Bid (BH3-Interacting Domain Death Agonist), is a pro-apoptotic member of the Bcl-2 protein family. The BCL2 family of proteins consists of both antagonists and agonists that regulate apoptosis and compete through dimerization. By fluorescence in situ hybridization, Wang et al. (1998) mapped the human BID gene to 22q11. Luo et al. (1998) reported the purification of a cytosolic protein that induces cytochrome c release from mitochondria in response to caspase-8, the apical caspase activated by cell surface death receptors such as FAS and TNF.

Application Notes

The stated application concentrations are suggested starting amounts. Titration of the Bid antibody may be required due to differences in protocols and secondary/substrate sensitivity.

Immunogen

Human partial recombinant protein (AA 1-195) was used as the immunogen for this Bid antibody.

Storage

After reconstitution, the Bid antibody can be stored for up to one month at 4oC. For long-term, aliquot and store at -20oC. Avoid repeated freezing and thawing.

Cross
Bulk Quote Request Form
Name*:
Organization*:
Email*:
Phone Number*:
Catalog No.*:
Comments and Specifics(amount, formulation, etc.)*:
Validation code: Captchapackage Image


Can't read the image? click here to refresh.
    *required field

Your bulk quote request has been submitted successfully!

Please contact us if you have any questions.