• Tel: 858.663.9055
  • SeparatorEmail: info@nsjbio.com
  • Tel: 858.663.9055
  • Email: info@nsjbio.com
Home >> Antibodies >> Bid Antibody

Bid Antibody [clone 10F4] (RQ5945)

  Catalog No Formulation Size Price (USD)  
Image RQ5945 0.5mg/ml if reconstituted with 0.2ml sterile DI water 100 ug 439
Bulk quote request
Immunofluorescent staining of FFPE human MCF7 cells with Bid antibody (green) and DAPI nuclear stain (blue). HIER: steam section in pH6 citrate buffer for 20 min.
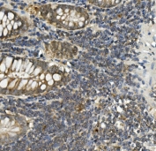
IHC staining of FFPE human rectal cancer with Bid antibody. HIER: boil tissue sections in pH8 EDTA for 20 min and allow to cool before testing.
IHC staining of FFPE human rectal cancer with Bid antibody. HIER: boil tissue sections in pH8 EDTA for 20 min and allow to cool before testing.
Western blot testing of human 1) Jurkat, 2) A549 and 3) HEK293 lysate with Bid antibody. Predicted molecular weight ~22 kDa.
Flow cytometry testing of human A549 cells with Bid antibody at 1ug/million cells (blocked with goat sera); Red=cells alone, Green=isotype control, Blue= Bid antibody.
Availability 1-3 business days
Species Reactivity Human
Format Antigen affinity purified
Clonality Monoclonal (mouse origin)
Isotype Mouse IgG2b
Clone Name 10F4
Purity Affinity purified
Buffer Lyophilized from 1X PBS with 2% Trehalose and 0.025% sodium azide
UniProt P55957
Applications Western Blot : 0.5-1ug/ml
Immunohistochemistry (FFPE) : 1-2ug/ml
Flow Cytometry : 1-3ug/million cells
Immunofluorescence : 2-4ug/ml
Limitations This Bid antibody is available for research use only.
Review this product on BioCompare and get a $20 Amazon gift card

Related Products

Description

BID (BH3-Interacting Domain Death Agonist), is a pro-apoptotic member of the Bcl-2 protein family. The BCL2 family of proteins consists of both antagonists and agonists that regulate apoptosis and compete through dimerization. By fluorescence in situ hybridization, Wang et al. (1998) mapped the human BID gene to 22q11. Luo et al. (1998) reported the purification of a cytosolic protein that induces cytochrome c release from mitochondria in response to caspase-8, the apical caspase activated by cell surface death receptors such as FAS and TNF.

Application Notes

Optimal dilution of the Bid antibody should be determined by the researcher.

Immunogen

Recombinant human protein (amino acids M1-VD195) was used as the immunogen for the Bid antibody.

Storage

After reconstitution, the Bid antibody can be stored for up to one month at 4oC. For long-term, aliquot and store at -20oC. Avoid repeated freezing and thawing.

Cross
Bulk Quote Request Form
Name*:
Organization*:
Email*:
Phone Number*:
Catalog No.*:
Comments and Specifics(amount, formulation, etc.)*:
Validation code: Captchapackage Image


Can't read the image? click here to refresh.
    *required field

Your bulk quote request has been submitted successfully!

Please contact us if you have any questions.