• Tel: 858.663.9055
  • SeparatorEmail: info@nsjbio.com
  • Tel: 858.663.9055
  • Email: info@nsjbio.com
Home >> Antibodies >> BHMT Antibody

BHMT Antibody (R33942)

  Catalog No Formulation Size Price (USD)  
Image R33942-100UG 0.5 mg/ml in 1X TBS, pH7.3, with 0.5% BSA (US sourced) and 0.02% sodium azide 100 ug 449
Bulk quote request
Western blot testing of rat liver lysate with BHMT antibody at 0.03ug/ml. Predicted molecular weight: ~45kDa.
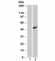
Western blot of HEK293 lysate overexpressing BHMT probed with BHMT antibody (mock transfection in lane 1). Predicted molecular weight: ~45kDa.
Availability 1-3 business days
Species Reactivity Human, Mouse, Rat
Predicted Reactivity Dog
Format Antigen affinity purified
Clonality Polyclonal (goat origin)
Isotype Goat Ig
Purity Antigen affinity
Gene ID 635
Applications Western Blot : 0.03-0.1ug/ml
Immunohistochemistry (FFPE) : 2-4ug/ml
ELISA (peptide) LOD : 1:16000
Limitations This BHMT antibody is available for research use only.
Review this product on BioCompare and get a $20 Amazon gift card

Related Products

  • Applications : WB, FACS, Direct ELISA
    Reactivity : Human, Mouse, Rat, Monkey

Description

Additional name(s) for this target protein: Betaine-homocysteine methyltransferase

Application Notes

Optimal dilution of the BHMT antibody should be determined by the researcher.

Immunogen

Amino acids EQQLKELFEKQK were used as the immunogen for this BHMT antibody.

Storage

Aliquot and store the BHMT antibody at -20oC.

Cross
Bulk Quote Request Form
Name*:
Organization*:
Email*:
Phone Number*:
Catalog No.*:
Comments and Specifics(amount, formulation, etc.)*:
Validation code: Captchapackage Image


Can't read the image? click here to refresh.
    *required field

Your bulk quote request has been submitted successfully!

Please contact us if you have any questions.