• Tel: 858.663.9055
  • SeparatorEmail: info@nsjbio.com
  • Tel: 858.663.9055
  • Email: info@nsjbio.com
Home >> Antibodies >> BGLAP Antibody / Osteocalcin

BGLAP Antibody / Osteocalcin [clone 32B73] (FY12770)

  Catalog No Formulation Size Price (USD)  
Image FY12770 Rabbit IgG in phosphate buffered saline, pH 7.4, 150mM NaCl, 0.02% sodium azide and 50% glycerol, 0.4-0.5mg/ml BSA 100 ul 439
Microvalidated Recrabbitmono
Bulk quote request
Availability 2-3 weeks
Species Reactivity Human
Format Liquid
Clonality Recombinant Rabbit Monoclonal
Isotype Rabbit IgG
Clone Name 32B73
Purity Affinity-chromatography
Buffer Rabbit IgG in phosphate buffered saline, pH 7.4, 150mM NaCl, 0.02% sodium azide and 50% glycerol, 0.4-0.5mg/ml BSA.
UniProt P02818
Applications Western Blot : 1:500-1:2000
Limitations This BGLAP antibody is available for research use only.
Review this product on BioCompare and get a $20 Amazon gift card

Related Products

  • Applications : WB, IHC, ELISA
    Reactivity : Human
  • Applications : IHC-P
    Reactivity : Human
  • Applications : IHC-P
    Reactivity : Mouse, Rat
  • Applications : IHC-P, FACS
    Reactivity : Rat

Description

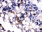
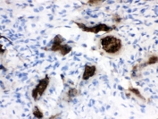
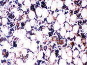
BGLAP antibody detects bone gamma carboxyglutamate protein, also known as osteocalcin, encoded by the BGLAP gene. Other identifiers include Bone Gla protein, BGP, and OC. Osteocalcin is a small, secreted non collagenous protein of bone produced exclusively by osteoblasts. It binds calcium and hydroxyapatite in bone matrix, contributing to bone mineralization and remodeling. Because of its specificity to bone forming cells, osteocalcin is widely used as a marker of osteoblast activity and bone turnover.

BGLAP antibody is widely applied in skeletal biology, endocrinology, and metabolic disease research. Osteocalcin not only functions in bone formation but also acts as a hormone influencing glucose metabolism, insulin sensitivity, and energy expenditure. By detecting BGLAP, researchers can study the dual role of osteocalcin as both a structural bone protein and an endocrine regulator. Circulating osteocalcin levels serve as clinical biomarkers of bone turnover in osteoporosis, fracture healing, and metabolic disorders.

Applications of BGLAP antibody include western blotting, immunohistochemistry, and ELISA. Western blotting identifies osteocalcin in osteoblast cultures and bone extracts, immunohistochemistry localizes expression in bone tissue sections, and ELISA quantifies circulating osteocalcin in serum or plasma. These complementary approaches provide powerful methods to link bone metabolism with systemic physiology.

Research has shown that osteocalcin influences insulin secretion from pancreatic beta cells and testosterone synthesis in Leydig cells, placing bone as an active regulator of endocrine function. Altered osteocalcin expression or signaling is linked to type 2 diabetes, obesity, and reproductive disorders. By applying BGLAP antibody, scientists can evaluate how bone derived signals integrate into whole body metabolic control.

In oncology, osteocalcin expression has been observed in certain cancers, including prostate and lung tumors that metastasize to bone. Detection of osteocalcin with antibody based methods provides insights into tumor bone interactions and metastatic microenvironments. This broadens the relevance of BGLAP antibody beyond traditional bone research.

BGLAP antibody from NSJ Bioreagents provides strong specificity for osteocalcin, ensuring reliable detection in skeletal, metabolic, and cancer biology research.

Application Notes

Optimal dilution of the BGLAP antibody should be determined by the researcher.

Immunogen

A synthesized peptide derived from human Osteocalcin was used as the immunogen for the BGLAP antibody.

Storage

Store the BGLAP antibody at -20oC.

Cross
Bulk Quote Request Form
Name*:
Organization*:
Email*:
Phone Number*:
Catalog No.*:
Comments and Specifics(amount, formulation, etc.)*:
Validation code: Captchapackage Image


Can't read the image? click here to refresh.
    *required field

Your bulk quote request has been submitted successfully!

Please contact us if you have any questions.