• Tel: 858.663.9055
  • SeparatorEmail: info@nsjbio.com
  • Tel: 858.663.9055
  • Email: info@nsjbio.com
Home >> Antibodies >> Betacellulin Antibody / BTC

Betacellulin Antibody / BTC (RQ4417)

  Catalog No Formulation Size Price (USD)  
Image RQ4417 0.5mg/ml if reconstituted with 0.2ml sterile DI water 100 ug 439
Bulk quote request
Western blot testing of rat 1) PC-12 and 2) RH35 lysate with Betacellulin antibody at 0.5ug/ml. Expected molecular weight: 20-40 kDa depending on glycosylation level.
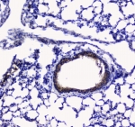
IHC testing of FFPE mouse lung tissue with Betacellulin antibody at 1ug/ml. Required HIER: steam section in pH6 citrate buffer for 20 min and allow to cool prior to staining.
IHC testing of FFPE rat lung tissue with Betacellulin antibody at 1ug/ml. Required HIER: steam section in pH6 citrate buffer for 20 min and allow to cool prior to staining.
IHC testing of FFPE rat brain tissue with Betacellulin antibody at 1ug/ml. Required HIER: steam section in pH6 citrate buffer for 20 min and allow to cool prior to staining.
IHC testing of FFPE rat cerebellum tissue with Betacellulin antibody at 1ug/ml. Required HIER: steam section in pH6 citrate buffer for 20 min and allow to cool prior to staining.
Availability 1-3 business days
Species Reactivity Mouse, Rat
Format Antigen affinity purified
Clonality Polyclonal (rabbit origin)
Isotype Rabbit IgG
Purity Antigen affinity purified
Buffer Lyophilized from 1X PBS with 2% Trehalose and 0.025% sodium azide
UniProt Q9JJM4
Applications Western Blot : 0.5-1ug/ml
IHC (FFPE) : 1-2ug/ml
Direct ELISA : 0.1-0.5ug/ml (recombinant rat protein) (BSA-free format available)
Limitations This Betacellulin antibody is available for research use only.
Review this product on BioCompare and get a $20 Amazon gift card

Related Products

Description

Betacellulin is a protein that in humans is encoded by the BTC gene located on chromosome 4 at locus 4q13-q21. This gene encodes a member of the epidermal growth factor (EGF) family of proteins. Alternative splicing results in multiple transcript variants, at least one of which encodes a preproprotein that is proteolytically processed to generate the secreted growth factor. A secreted form and a membrane-anchored form of this protein bind to multiple different EGF receptors. This protein promotes pancreatic cell proliferation and insulin secretion, as well as retinal vascular permeability. Mutations in this gene may be associated with type 2 diabetes in human patients.

Application Notes

Optimal dilution of the Betacellulin antibody should be determined by the researcher.

Immunogen

A rat partial recombinant protein corresponding to amino acids D32-A177 was used as the immunogen for the Betacellulin antibody.

Storage

After reconstitution, the Betacellulin antibody can be stored for up to one month at 4oC. For long-term, aliquot and store at -20oC. Avoid repeated freezing and thawing.

Cross
Bulk Quote Request Form
Name*:
Organization*:
Email*:
Phone Number*:
Catalog No.*:
Comments and Specifics(amount, formulation, etc.)*:
Validation code: Captchapackage Image


Can't read the image? click here to refresh.
    *required field

Your bulk quote request has been submitted successfully!

Please contact us if you have any questions.