• Tel: 858.663.9055
  • SeparatorEmail: info@nsjbio.com
  • Tel: 858.663.9055
  • Email: info@nsjbio.com
Home >> Antibodies >> Betacellulin Antibody / BTC

Betacellulin Antibody / BTC (F54607)

  Catalog No Formulation Size Price (USD)  
Image F54607-0.4ML In 1X PBS, pH 7.4, with 0.09% sodium azide 0.4 ml 429
Image
F54607-0.08ML In 1X PBS, pH 7.4, with 0.09% sodium azide 0.08 ml 199
Bulk quote request
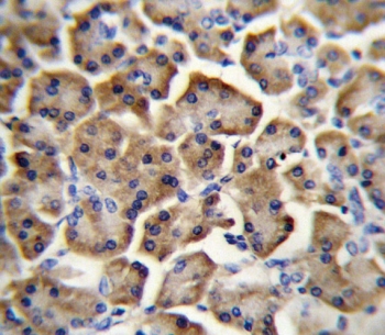
IHC testing of FFPE human pancreas tissue with Betacellulin antibody. HIER: steam section in pH6 citrate buffer for 20 min and allow to cool prior to staining.
Immunofluorescent staining of human MDA-MB-231 cells with Betacellulin antibody (green) and DAPI nuclear stain (blue).
Western blot testing of human MDA-MB-231 cell lysate with Betacellulin antibody. Expected molecular weight: 20-40 kDa depending on glycosylation level.
Flow cytometry testing of human HeLa cells with Betacellulin antibody; Blue=isotype control, Green= Betacellulin antibody.
Availability 1-3 business days
Species Reactivity Human
Format Purified
Clonality Polyclonal (rabbit origin)
Isotype Rabbit Ig
Purity Purified
UniProt P35070
Applications Immunofluorescence : 1:25
Flow Cytometry : 1:25 (1x10e6 cells)
Immunohistochemistry (FFPE) : 1:25
Western Blot : 1:500-1:2000
Limitations This Betacellulin antibody is available for research use only.
Review this product on BioCompare and get a $20 Amazon gift card

Related Products

Description

Growth factor that binds to EGFR, ERBB4 and other EGF receptor family members. Potent mitogen for retinal pigment epithelial cells and vascular smooth muscle cells. [UniProt]

Application Notes

The stated application concentrations are suggested starting points. Titration of the Betacellulin antibody may be required due to differences in protocols and secondary/substrate sensitivity.

Immunogen

A portion of amino acids 17-45 from the human protein was used as the immunogen for the Betacellulin antibody.

Storage

Aliquot the Betacellulin antibody and store frozen at -20oC or colder. Avoid repeated freeze-thaw cycles.

Cross
Bulk Quote Request Form
Name*:
Organization*:
Email*:
Phone Number*:
Catalog No.*:
Comments and Specifics(amount, formulation, etc.)*:
Validation code: Captchapackage Image


Can't read the image? click here to refresh.
    *required field

Your bulk quote request has been submitted successfully!

Please contact us if you have any questions.