• Tel: 858.663.9055
  • SeparatorEmail: info@nsjbio.com
  • Tel: 858.663.9055
  • Email: info@nsjbio.com
Home >> Antibodies >> Beta-TrCP Antibody / BTRC

Beta-TrCP Antibody / BTRC (F54622)

  Catalog No Formulation Size Price (USD)  
Image F54622-0.4ML In 1X PBS, pH 7.4, with 0.09% sodium azide 0.4 ml 429
Image
F54622-0.08ML In 1X PBS, pH 7.4, with 0.09% sodium azide 0.08 ml 199
Bulk quote request
Western blot testing of human 1) HepG2 and 2) HEK293 cell lysate with Beta-TrCP antibody. Predicted molecular weight ~69 kDa.
Western blot testing of human ZR-75-1 cell lysate with Beta-TrCP antibody. Predicted molecular weight ~69 kDa.
Immunofluorescent staining of human ZR-75-1 cells with Beta-TrCP antibody (green), DAPI nuclear stain (blue) and anti-Actin (red).
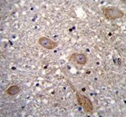
IHC testing of FFPE human brain tissue with Beta-TrCP antibody. HIER: steam section in pH6 citrate buffer for 20 min and allow to cool prior to staining.
Availability 1-3 business days
Species Reactivity Human
Format Purified
Clonality Polyclonal (rabbit origin)
Isotype Rabbit Ig
Purity Antigen affinity purified
UniProt Q9Y297
Localization Cytoplasmic, nuclear
Applications Immunofluorescence : 1:25
Immunohistochemistry (FFPE) : 1:25
Western Blot : 1:500-1:2000
Limitations This Beta-TrCP antibody is available for research use only.
Review this product on BioCompare and get a $20 Amazon gift card

Description

This gene encodes a member of the F-box protein family which is characterized by an approximately 40 amino acid motif, the F-box. The F-box proteins constitute one of the four subunits of ubiquitin protein ligase complex called SCFs (SKP1-cullin-F-box), which function in phosphorylation-dependent ubiquitination. The F-box proteins are divided into 3 classes: Fbws containing WD-40 domains, Fbls containing leucine-rich repeats, and Fbxs containing either different protein-protein interaction modules or no recognizable motifs. The protein encoded by this gene belongs to the Fbws class; in addition to an F-box, this protein contains multiple WD-40 repeats. This protein is homologous to Xenopus bTrCP1, yeast Met30, Neurospora Scon2 and Drosophila Slimb proteins. It interacts with HIV-1 Vpu and connects CD4 to the proteolytic machinery. It also associates specifically with phosphorylated IkappaBalpha and beta-catenin destruction motifs, probably functioning in multiple transcriptional programs by activating the NF-kappaB pathway and inhibiting the beta-catenin pathway.

Application Notes

The stated application concentrations are suggested starting points. Titration of the Beta-TrCP antibody may be required due to differences in protocols and secondary/substrate sensitivity.

Immunogen

A portion of amino acids 17-52 from the human protein was used as the immunogen for the Beta-TrCP antibody.

Storage

Aliquot the Beta-TrCP antibody and store frozen at -20oC or colder. Avoid repeated freeze-thaw cycles.

Cross
Bulk Quote Request Form
Name*:
Organization*:
Email*:
Phone Number*:
Catalog No.*:
Comments and Specifics(amount, formulation, etc.)*:
Validation code: Captchapackage Image


Can't read the image? click here to refresh.
    *required field

Your bulk quote request has been submitted successfully!

Please contact us if you have any questions.