• Tel: 858.663.9055
  • SeparatorEmail: info@nsjbio.com
  • Tel: 858.663.9055
  • Email: info@nsjbio.com
Home >> Antibodies >> Beta-secretase 1 Antibody / Memapsin-2 / BACE1C

Beta-secretase 1 Antibody / Memapsin-2 / BACE1C (F54840)

  Catalog No Formulation Size Price (USD)  
Image F54840-0.4ML In 1X PBS, pH 7.4, with 0.09% sodium azide 0.4 ml 429
Image
F54840-0.08ML In 1X PBS, pH 7.4, with 0.09% sodium azide 0.08 ml 199
Bulk quote request
Western blot testing of human NCI-H460 cell lysate with Beta-secretase 1 antibody. Predicted molecular weight ~56 kDa.
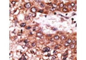
IHC testing of FFPE human cancer tissue with Beta-secretase 1 antibody. HIER: steam section in pH6 citrate buffer for 20 min and allow to cool prior to staining.
Flow cytometry testing of human NCI-H460 cells with Beta-secretase 1 antibody; Blue=isotype control, Green= Beta-secretase 1 antibody.
Availability 1-3 business days
Species Reactivity Human
Format Purified
Clonality Polyclonal (rabbit origin)
Isotype Rabbit Ig
Purity Purified
UniProt P56817
Localization Cytoplasmic
Applications Immunohistochemistry (FFPE) : 1:50-1:100
Flow Cytometry : 1:10-1:50 (1x10e6 cells)
Western Blot : 1:500-1:1000
Limitations This Beta-secretase 1 antibody is available for research use only.
Review this product on BioCompare and get a $20 Amazon gift card

Description

Cerebral deposition of amyloid beta peptide is an early and critical feature of Alzheimer's disease. Amyloid beta peptide is generated by proteolytic cleavage of amyloid precursor protein (APP) by two proteases, one of which is the BACE1. The encoded protein, a member of the peptidase A1 protein family, is a type I integral membrane glycoprotein and aspartic protease that is found mainly in the Golgi.

Application Notes

The stated application concentrations are suggested starting points. Titration of the Beta-secretase 1 antibody may be required due to differences in protocols and secondary/substrate sensitivity.

Immunogen

A portion of amino acids 125-154 from the human protein was used as the immunogen for the Beta-secretase 1 antibody.

Storage

Aliquot the Beta-secretase 1 antibody and store frozen at -20oC or colder. Avoid repeated freeze-thaw cycles.

Cross
Bulk Quote Request Form
Name*:
Organization*:
Email*:
Phone Number*:
Catalog No.*:
Comments and Specifics(amount, formulation, etc.)*:
Validation code: Captchapackage Image


Can't read the image? click here to refresh.
    *required field

Your bulk quote request has been submitted successfully!

Please contact us if you have any questions.