• Tel: 858.663.9055
  • SeparatorEmail: info@nsjbio.com
  • Tel: 858.663.9055
  • Email: info@nsjbio.com
Home >> Antibodies >> Beta-Parvin Antibody / PARVB

Beta-Parvin Antibody / PARVB [clone PARVB/8214R] (V4865)

  Catalog No Formulation Size Price (USD)  
Image V4865-100UG 0.2 mg/ml in 1X PBS with 0.1 mg/ml BSA (US sourced), 0.05% sodium azide 100 ug 539
Image
V4865-20UG 0.2 mg/ml in 1X PBS with 0.1 mg/ml BSA (US sourced), 0.05% sodium azide 20 ug 249
Image
V4865SAF-100UG 1 mg/ml in 1X PBS; BSA free, sodium azide free 100 ug 539
Microvalidated Recrabbitmono
Bulk quote request
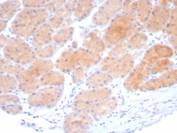
IHC staining of FFPE human stomach tissue with Beta-Parvin antibody (clone PARVB/8214R). HIER: boil tissue sections in pH 9 10mM Tris with 1mM EDTA for 20 min and allow to cool before testing.
SDS-PAGE analysis of purified, BSA-free Parvin antibody (clone PARVB/8214R) as confirmation of integrity and purity.
Availability 1-3 business days
Species Reactivity Human
Format Purified
Clonality Recombinant Rabbit Monoclonal
Isotype Rabbit IgG, kappa
Clone Name PARVB/8214R
Purity Protein A/G affinity
UniProt Q9HBI1
Localization Cell Surface, Cytoplasm
Applications Immunohistochemistry (FFPE) : 1-2ug/ml for 30 min at RT
Limitations This Beta-Parvin antibody is available for research use only.
Review this product on BioCompare and get a $20 Amazon gift card

Description

Beta-parvin, also known as affixin, is a focal adhesion protein belonging to a family of ILKbinding proteins that contain tandem calponin homolog domains. Along with Alpha-parvin, Beta-parvin is one of the most widely researched and characterized members of this family. These two proteins interact with the ILK kinase domain in a way that is mutually exclusive and regulates both the activity of the kinase and actin cytoskeleton adhesion. Studies have shown Beta-parvin to be downregulated within human breast cancer cells, and that its expression may influence the progression of breast cancer (Johnstone, 2008). Additional research indicates a critical role for Beta-parvin in the regulation of cardiac contractility when it is in complex with ILK (Hannigan, 2007).

Application Notes

Optimal dilution of the Beta-Parvin antibody should be determined by the researcher.

Immunogen

The N-terminal region (residues 1-91) of the human protein was used as the immunogen for the Beta-Parvin antibody.

Storage

Aliquot the Beta-Parvin antibody and store frozen at -20oC or colder. Avoid repeated freeze-thaw cycles.

Cross
Bulk Quote Request Form
Name*:
Organization*:
Email*:
Phone Number*:
Catalog No.*:
Comments and Specifics(amount, formulation, etc.)*:
Validation code: Captchapackage Image


Can't read the image? click here to refresh.
    *required field

Your bulk quote request has been submitted successfully!

Please contact us if you have any questions.