• Tel: 858.663.9055
  • SeparatorEmail: info@nsjbio.com
  • Tel: 858.663.9055
  • Email: info@nsjbio.com
Home >> Antibodies >> beta-HCG Antibody

beta-HCG Antibody [clone PC-2] (R30097)

  Catalog No Formulation Size Price (USD)  
Image R30097 0.5mg/ml with 1% BSA and 0.01% sodium azide if reconstituted with 0.2ml sterile 1X PBS 100 ug 439
Bulk quote request
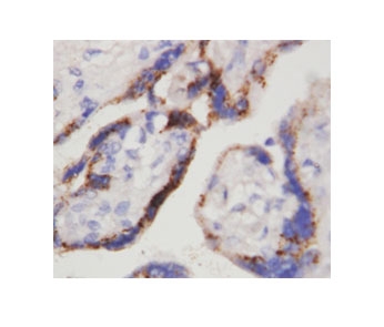
IHC-P: beta-HCG antibody testing of human placenta tissue. HIER: steamed with pH6 citrate buffer, HRP-staining.
Availability 1-3 business days
Species Reactivity Human
Format Ascites
Clonality Monoclonal (mouse origin)
Isotype Mouse IgG1
Clone Name PC-2
Purity Ascites
Gene ID 1082
Applications IHC (FFPE) : 2ug/ml
Limitations This beta-HCG antibody is available for research use only.
Review this product on BioCompare and get a $20 Amazon gift card

Description

beta-HCG(beta-Human Chorionic Gonadotropin), also termed as Chorionic Gonadotropin, Beta Chain(CGB). It is encoded by a multigene cluster composed of six homologous sequences. And in the family of beta-containing glycoprotein hormones, beta-HCG is unique in that it contains an extension of 29 amino acids at its COOH end. beta-HCG is mapped to 19q13.32 and expressed in trophoblast and various malignant tumors promotes cellular motility in vivo. beta-HCG has a novel function in uterine adaptation to early pregnancy as well as in tumor development and underline the importance of HCG as an as yet unrecognized angiogenic factor.

Application Notes

The stated application concentrations are suggested starting amounts. Titration of the beta-HCG antibody may be required due to differences in protocols and secondary/substrate sensitivity.

Immunogen

Purified human Chorionic Gonadotropin was used as the immunogen for this beta-HCG antibody.

Storage

After reconstitution, the beta-HCG antibody can be stored for up to one month at 4oC. For long-term, aliquot and store at -20oC. Avoid repeated freezing and thawing.

Cross
Bulk Quote Request Form
Name*:
Organization*:
Email*:
Phone Number*:
Catalog No.*:
Comments and Specifics(amount, formulation, etc.)*:
Validation code: Captchapackage Image


Can't read the image? click here to refresh.
    *required field

Your bulk quote request has been submitted successfully!

Please contact us if you have any questions.