• Tel: 858.663.9055
  • SeparatorEmail: info@nsjbio.com
  • Tel: 858.663.9055
  • Email: info@nsjbio.com
Home >> Antibodies >> Beta Glucuronidase Antibody / Gusb

Beta Glucuronidase Antibody / Gusb (F55031)

  Catalog No Formulation Size Price (USD)  
Image F55031-0.4ML In 1X PBS, pH 7.4, with 0.09% sodium azide 0.4 ml 429
Image
F55031-0.08ML In 1X PBS, pH 7.4, with 0.09% sodium azide 0.08 ml 199
Bulk quote request
IHC testing of FFPE human liver tissue with Beta Glucuronidase antibody. HIER: steam section in pH9 EDTA buffer for 20 min and allow to cool prior to staining.
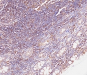
IHC testing of FFPE human colon carcinoma tissue with Beta Glucuronidase antibody. HIER: steam section in pH9 EDTA buffer for 20 min and allow to cool prior to staining.
Western blot testing of human 1) HT-29, 2) WiDr, 3) K562, 4) A2058, 5) HL60, 6) mouse liver and 7) mouse lung lysate with Beta Glucuronidase antibody. Expected molecular weight: 68-75 kDa, also seen as dimers and tetramers.
Flow cytometry testing of human WiDr cells with Beta Glucuronidase antibody; Blue=isotype control, Green= Beta Glucuronidase antibody.
Availability 1-3 business days
Species Reactivity Human, Mouse
Format Purified
Clonality Polyclonal (rabbit origin)
Isotype Rabbit Ig
Purity Antigen affinity purified
UniProt P08236
Localization Cytoplasmic
Applications Immunohistochemistry (FFPE) : 1:50-1:100
Flow Cytometry : 1:10-1:50 (1x10e6 cells)
Western Blot : 1:2000-1:4000
Limitations This Beta Glucuronidase antibody is available for research use only.
Review this product on BioCompare and get a $20 Amazon gift card

Related Products

Description

The GUSB gene encodes beta-glucuronidase, a lysosomal hydrolase involved in the stepwise degradation of glucuronic acid-containing glycosaminoglycans (Shipley et al., 1993). It is a tetrameric glycoprotein composed of identical subunits (Oshima et al., 1987). The GUSB gene is mutated in mucopolysaccharidosis type VII.

Application Notes

The stated application concentrations are suggested starting points. Titration of the Beta Glucuronidase antibody may be required due to differences in protocols and secondary/substrate sensitivity.

Immunogen

A portion of amino acids 335-362 from the human protein was used as the immunogen for the Beta Glucuronidase antibody.

Storage

Aliquot the Beta Glucuronidase antibody and store frozen at -20oC or colder. Avoid repeated freeze-thaw cycles.

Cross
Bulk Quote Request Form
Name*:
Organization*:
Email*:
Phone Number*:
Catalog No.*:
Comments and Specifics(amount, formulation, etc.)*:
Validation code: Captchapackage Image


Can't read the image? click here to refresh.
    *required field

Your bulk quote request has been submitted successfully!

Please contact us if you have any questions.