• Tel: 858.663.9055
  • SeparatorEmail: info@nsjbio.com
  • Tel: 858.663.9055
  • Email: info@nsjbio.com
Home >> Antibodies >> Beta Enolase Antibody / ENO3 / Enolase 3

Beta Enolase Antibody / ENO3 / Enolase 3 (RQ6479)

  Catalog No Formulation Size Price (USD)  
Image RQ6479 0.5mg/ml if reconstituted with 0.2ml sterile DI water 100 ug 439
Bulk quote request
Flow cytometry testing of human Caco-2 cells with Beta Enolase antibody at 1ug/million cells (blocked with goat sera); Red=cells alone, Green=isotype control, Blue= Beta Enolase antibody.
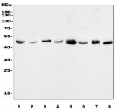
Western blot testing of 1) human HeLa, 2) human A549, 3) human U937, 4) human Caco-2, 5) rat skeletal muscle, 6) rat heart, 7) mouse skeletal muscle and 8) mouse heart lysate with Beta Enolase antibody. Predicted molecular weight ~47 kDa.
Availability 1-3 business days
Species Reactivity Human, Mouse, Rat
Format Antigen affinity purified
Clonality Polyclonal (rabbit origin)
Isotype Rabbit IgG
Purity Affinity purified
Buffer Lyophilized from 1X PBS with 2% Trehalose
UniProt P13929
Applications Western Blot : 1-2ug/ml
Flow Cytometry : 1-3ug/million cells
Direct ELISA : 0.1-0.5ug/ml
Limitations This Beta Enolase antibody is available for research use only.
Review this product on BioCompare and get a $20 Amazon gift card

Description

Enolase 3 (ENO3), also known as beta-enolase and muscle specific enolase, is an enzyme that in humans is encoded by the ENO3 gene. This gene encodes one of the three enolase isoenzymes found in mammals. This isoenzyme is found in skeletal muscle cells in the adult where it may play a role in muscle development and regeneration. A switch from alpha enolase to beta enolase occurs in muscle tissue during development in rodents. Mutations in this gene have be associated glycogen storage disease. Alternatively spliced transcript variants encoding different isoforms have been described.

Application Notes

Optimal dilution of the Beta Enolase antibody should be determined by the researcher.

Immunogen

An E. coli-derived human protein (amino acids K60-K103) was used as the immunogen for the Beta Enolase antibody.

Storage

After reconstitution, the Beta Enolase antibody can be stored for up to one month at 4oC. For long-term, aliquot and store at -20oC. Avoid repeated freezing and thawing.

Cross
Bulk Quote Request Form
Name*:
Organization*:
Email*:
Phone Number*:
Catalog No.*:
Comments and Specifics(amount, formulation, etc.)*:
Validation code: Captchapackage Image


Can't read the image? click here to refresh.
    *required field

Your bulk quote request has been submitted successfully!

Please contact us if you have any questions.