- Tel: 858.663.9055
- 
									 Email: info@nsjbio.com Email: info@nsjbio.com
- Tel: 858.663.9055
- Email: info@nsjbio.com
 Email: info@nsjbio.com
Email: info@nsjbio.com
								Related Products
| 
 | 
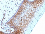
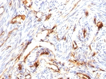
Beta-2 Microglobulin antibody clone B2M/1118 is a monoclonal antibody that detects beta-2 microglobulin, a 12 kDa protein that forms the light chain of class I major histocompatibility complex molecules. This protein is non-covalently associated with HLA heavy chains on the surface of nearly all nucleated cells. Beta-2 microglobulin is essential for proper folding and surface expression of class I MHC molecules, which present endogenous peptides to cytotoxic T cells. NSJ Bioreagents provides this antibody for immunology, oncology, and clinical biomarker research.
The antibody produces strong membranous staining in diverse tissues, reflecting the ubiquitous expression of class I MHC. In immunology, beta-2 microglobulin detection supports studies of antigen presentation, immune surveillance, and cytotoxic T cell responses. Because this protein is required for stable MHC class I expression, its presence or absence provides important insights into immune function.
In oncology, detection of beta-2 microglobulin has been applied to research into immune evasion mechanisms. Many tumors downregulate MHC class I expression to avoid recognition by T cells, and monitoring beta-2 microglobulin expression with this antibody supports investigations into tumor-immune interactions. Elevated serum levels of this protein are also associated with hematologic malignancies such as multiple myeloma and lymphoma, making it a valuable biomarker in both tissue and fluid-based assays.
In transplantation research, the antibody is useful for evaluating immune compatibility and rejection risk. Because beta-2 microglobulin is involved in MHC class I presentation, its detection helps clarify mechanisms of graft rejection and tolerance.
The antibody has also been applied in nephrology, where increased urinary levels of beta-2 microglobulin indicate renal tubular dysfunction. This expands its utility beyond oncology and immunology into clinical biomarker research.
Validated in tissue-based and cell-based assays, the antibody consistently provides specific and reproducible results with minimal background. Alternate names include B2M antibody, MHC class I light chain antibody, and HLA-associated beta-2 microglobulin antibody.
Optimal dilution of the Beta-2 Microglobulin antibody should be determined by the researcher.
1. Staining of formalin/paraffin tissues requires boiling tissue sections in pH 9 10mM Tris with 1mM EDTA for 10-20 min followed by cooling at RT for 20 min.
2. The prediluted format is supplied in a dropper bottle and is optimized for use in IHC. After epitope retrieval step (if required), drip mAb solution onto the tissue section and incubate at RT for 30 min.
Full length recombinant human B2M protein was used as the immunogen for the Beta-2 Microglobulin antibody.
Store the Beta-2 Microglobulin antibody at 2-8oC (with azide) or aliquot and store at -20oC or colder (without azide).
 
Your bulk quote request has been submitted successfully!
Please contact us if you have any questions.