• Tel: 858.663.9055
  • SeparatorEmail: info@nsjbio.com
  • Tel: 858.663.9055
  • Email: info@nsjbio.com
Home >> Antibodies >> BDNF Antibody

BDNF Antibody (R31503)

  Catalog No Formulation Size Price (USD)  
Image R31503 0.5mg/ml if reconstituted with 0.2ml sterile DI water 100 ug 439
Bulk quote request
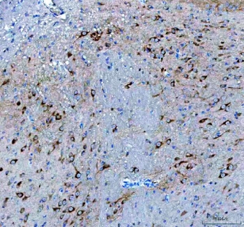
IHC-P staining of mouse brain tissue with BDNF antibody. HIER: steam section in pH8 EDTA buffer for 20 min and allow to cool prior to staining.
IHC-P staining of rat brain tissue with BDNF antibody. HIER: steam section in pH8 EDTA buffer for 20 min and allow to cool prior to staining.
Western blot testing of a recombinant human BDNF protein fragment with BDNF antibody.
Availability 1-3 business days
Species Reactivity Human, Mouse, Rat
Format Antigen affinity purified
Clonality Polyclonal (rabbit origin)
Isotype Rabbit IgG
Purity Antigen affinity
Buffer Lyophilized from 1X PBS with 2% Trehalose
UniProt P23560
Localization Cytoplasmic, secreted
Applications Western Blot : 0.5-1ug/ml
Immunohistochemistry (FFPE) : 2-5ug/ml
Limitations This BDNF antibody is available for research use only.
Review this product on BioCompare and get a $20 Amazon gift card

Related Products

Description

Brain-derived neurotrophic factor is a secreted protein that, in humans, is encoded by the BDNF gene. It is a member of the neurotrophin family of growth factors, which are related to the canonical nerve growth factor. BDNF is a prosurvival factor induced by cortical neurons that is necessary for survival of striatal neurons in the brain. It is expressed within peripheral ganglia and is not restricted to neuronal target fields. It has been purified and shown to reduce the amount of naturally occurring neuronal cell death in portions of the peripheral nervous system.

Application Notes

The stated application concentrations are suggested starting points. Titration of the BDNF antibody may be required due to differences in protocols and secondary/substrate sensitivity.

Immunogen

Human partial recombinant protein (AA 129-247) was used as the immunogen for this BDNF antibody.

Storage

After reconstitution, the BDNF antibody can be stored for up to one month at 4oC. For long-term, aliquot and store at -20oC. Avoid repeated freezing and thawing.

Cross
Bulk Quote Request Form
Name*:
Organization*:
Email*:
Phone Number*:
Catalog No.*:
Comments and Specifics(amount, formulation, etc.)*:
Validation code: Captchapackage Image


Can't read the image? click here to refresh.
    *required field

Your bulk quote request has been submitted successfully!

Please contact us if you have any questions.