• Tel: 858.663.9055
  • SeparatorEmail: info@nsjbio.com
  • Tel: 858.663.9055
  • Email: info@nsjbio.com
Home >> Antibodies >> BDH2 Antibody

BDH2 Antibody (R36193)

  Catalog No Formulation Size Price (USD)  
Image R36193-100UG 0.5 mg/ml in 1X TBS, pH7.3, with 0.5% BSA (US sourced) and 0.02% sodium azide 100 ug 449
Bulk quote request
Western blot testing of human kidney lysate with BDH2 antibody at 0.3ug/ml. Predicted molecular weight: ~27 kDa.
Western blot of HEK293 lysate overexpressing BDH2 probed with BDH2 antibody (mock transfection in lane 1). Predicted molecular weight: ~27 kDa.
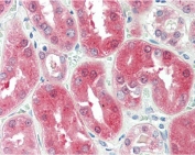
IHC testing of FFPE human kidney tissue with BDH2 antibody at 5ug/ml. Required HIER: steamed antigen retrieval with pH6 citrate buffer; AP-staining.
Availability 1-3 business days
Species Reactivity Human
Predicted Reactivity Mouse, Rat
Format Antigen affinity purified
Clonality Polyclonal (goat origin)
Isotype Goat Ig
Purity Antigen affinity
Gene ID 56898
Localization Cytoplasmic
Applications Western Blot : 0.3-1ug/ml
IHC (FFPE) : 5ug/ml
ELISA (peptide) LOD : 1:64000
Limitations This BDH2 antibody is available for research use only.
Review this product on BioCompare and get a $20 Amazon gift card

Description

Additional name(s) for this target protein: 3 hydroxybutyrate dehydrogenase type 2

Application Notes

Optimal dilution of the BDH2 antibody should be determined by the researcher.

Immunogen

Amino acids TKKKQIDQFANE were used as the immunogen for this BDH2 antibody.

Storage

Aliquot and store the BDH2 antibody at -20oC.

Cross
Bulk Quote Request Form
Name*:
Organization*:
Email*:
Phone Number*:
Catalog No.*:
Comments and Specifics(amount, formulation, etc.)*:
Validation code: Captchapackage Image


Can't read the image? click here to refresh.
    *required field

Your bulk quote request has been submitted successfully!

Please contact us if you have any questions.