• Tel: 858.663.9055
  • SeparatorEmail: info@nsjbio.com
  • Tel: 858.663.9055
  • Email: info@nsjbio.com
Home >> Antibodies >> BCORL1 Antibody

BCORL1 Antibody (F54228)

  Catalog No Formulation Size Price (USD)  
Image F54228-0.4ML In 1X PBS, pH 7.4, with 0.09% sodium azide 0.4 ml 429
Image
F54228-0.08ML In 1X PBS, pH 7.4, with 0.09% sodium azide 0.08 ml 199
Bulk quote request
Western blot testing of human 1) HL60 and 2) Caco-2 lysate with BCORL1 antibody. Predicted molecular weight ~182 kDa.
Western blot testing of rat skeletal muscle lysate with BCORL1 antibody. Predicted molecular weight ~182 kDa.
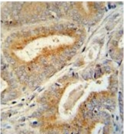
IHC testing of FFPE human prostate carcinoma with BCORL1 antibody. HIER: steam section in pH6 citrate buffer for 20 min and allow to cool prior to staining.
Flow cytometry testing of human HL60 cells with BCORL1 antibody; Blue=isotype control, Green= BCORL1 antibody.
Availability 1-3 business days
Species Reactivity Human, Rat
Format Purified
Clonality Polyclonal (rabbit origin)
Isotype Rabbit Ig
Purity Antigen affinity purified
UniProt Q5H9F3
Gene ID 63035
Localization Nuclear
Applications Western Blot : 1:500-1:1000
Immunohistochemistry (FFPE) : 1:50-1:100
Flow Cytometry : 1:25 (1x10e6 cells)
Limitations This BCORL1 antibody is available for research use only.
Review this product on BioCompare and get a $20 Amazon gift card

Description

The protein encoded by this gene is a transcriptional corepressor that is found tethered to promoter regions by DNA-binding proteins. The encoded protein can interact with several different class II histone deacetylases to repress transcription. Two transcript variants encoding different isoforms have been found for this gene.

Application Notes

The stated application concentrations are suggested starting points. Titration of the BCORL1 antibody may be required due to differences in protocols and secondary/substrate sensitivity.

Immunogen

A portion of amino acids 69-98 from the human protein were used as the immunogen for the BCORL1 antibody.

Storage

Aliquot the BCORL1 antibody and store frozen at -20oC or colder. Avoid repeated freeze-thaw cycles.

Cross
Bulk Quote Request Form
Name*:
Organization*:
Email*:
Phone Number*:
Catalog No.*:
Comments and Specifics(amount, formulation, etc.)*:
Validation code: Captchapackage Image


Can't read the image? click here to refresh.
    *required field

Your bulk quote request has been submitted successfully!

Please contact us if you have any questions.