• Tel: 858.663.9055
  • SeparatorEmail: info@nsjbio.com
  • Tel: 858.663.9055
  • Email: info@nsjbio.com
Home >> Antibodies >> Bcl2L2 Antibody / Bcl-W

Bcl2L2 Antibody / Bcl-W (R30497)

  Catalog No Formulation Size Price (USD)  
Image R30497 0.5mg/ml if reconstituted with 0.2ml sterile DI water 100 ug 439
Bulk quote request
Western blot testing of human HeLa cell lysate with Bcl2L2 antibody at 0.5ug/ml. Predicted molecular weight ~21 kDa.
Western blot testing of human 1) A549, 2) K562, 3) U937, 4) HeLa and 5) A431 cell lysate with Bcl2L2 antibody at 0.5ug/ml. Predicted molecular weight ~21 kDa.
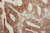
IHC testing of FFPE human rectal cancer tissue with Bcl2L2 antibody at 1ug/ml. Required HIER: steam section in pH6 citrate buffer for 20 min and allow to cool prior to staining.
Flow cytometry testing of human PC-3 cells with Bcl2L2 antibody at 1ug/million cells (blocked with goat sera); Red=cells alone, Green=isotype control, Blue= Bcl2L2 antibody.
Availability 1-3 business days
Species Reactivity Human, Mouse, Rat
Format Antigen affinity purified
Clonality Polyclonal (rabbit origin)
Isotype Rabbit IgG
Purity Antigen affinity
Buffer Lyophilized from 1X PBS with 2.5% BSA and 0.025% sodium azide/thimerosal
UniProt Q92843
Localization Cytoplasmic
Applications Western Blot : 0.5-1ug/ml
Immunohistochemistry (FFPE) : 0.5-1ug/ml
Limitations This Bcl2L2 antibody is available for research use only.
Review this product on BioCompare and get a $20 Amazon gift card

Related Products

Description

Bcl-2-like protein 2 is a protein that in humans is encoded by the BCL2L2 gene. This gene encodes a pro-survival (anti-apoptotic) member of the bcl-2 protein family. Its is mapped to human chromosome 14q11.2-q12. The protein can be found in brain, colon and salivary gland. Acting as an anti-apoptotic/pro-survival regulator, it has played a vital role in reducing cell apoptosis under cytotoxic conditions.

Application Notes

The stated application concentrations are suggested starting points. Titration of the Bcl2L2 antibody may be required due to differences in protocols and secondary/substrate sensitivity.

Immunogen

An amino acid sequence from the middle region of human Bcl2L2 (SAQQRFTQVSDELFQ) was used as the immunogen for this Bcl2L2 antibody (100% homologous in human, mouse and rat).

Storage

After reconstitution, the Bcl2L2 antibody can be stored for up to one month at 4oC. For long-term, aliquot and store at -20oC. Avoid repeated freezing and thawing.

Cross
Bulk Quote Request Form
Name*:
Organization*:
Email*:
Phone Number*:
Catalog No.*:
Comments and Specifics(amount, formulation, etc.)*:
Validation code: Captchapackage Image


Can't read the image? click here to refresh.
    *required field

Your bulk quote request has been submitted successfully!

Please contact us if you have any questions.