• Tel: 858.663.9055
  • SeparatorEmail: info@nsjbio.com
  • Tel: 858.663.9055
  • Email: info@nsjbio.com
Home >> Antibodies >> BCL2L11 Antibody / BIM

BCL2L11 Antibody / BIM [clone CBE-2] (RQ4739)

  Catalog No Formulation Size Price (USD)  
Image RQ4739 Antibody in PBS with 0.02% sodium azide, 50% glycerol and 0.4-0.5mg/ml BSA 100 ul 439
Microvalidated Rab Mono Image
Bulk quote request
Western blot testing of human A431 cell lysate with BCL2L11 antibody. Predicted molecular weight: 12-22 kDa (three isoforms).
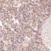
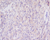
IHC staining of FFPE human cervix with BCL2L11 antibody. HIER: boil tissue sections in pH6, 10mM citrate buffer, for 10-20 min and allow to cool before testing.
IHC staining of FFPE human esophageal carcinoma tissue with BCL2L11 antibody. HIER: boil tissue sections in pH6, 10mM citrate buffer, for 10-20 min and allow to cool before testing.
IHC staining of FFPE human prostate cancer tissue with BCL2L11 antibody. HIER: boil tissue sections in pH6, 10mM citrate buffer, for 10-20 min and allow to cool before testing.
Immunofluorescent staining of FFPE human Raji cells with BCL2L11 antibody (green) and DAPI nuclear stain (blue).
Western blot testing of 1) human HeLa, 2) human 293, 3) mouse spleen, 4) rat liver, 5) rat spleen, 6) mouse stomach and 7) mouse testis tissue lysate with BCL2L11 antibody. Predicted molecular weight: 12-22 kDa (three isoforms).
Availability 1-2 weeks
Species Reactivity Human
Format Purified
Clonality Rabbit Monoclonal
Isotype Rabbit IgG
Clone Name CBE-2
Purity Affinity purified
UniProt O43521
Applications Western Blot : 1:500-1:1000
Immunohistochemistry (FFPE) : 1:50-1:100
Immunofluorescence : 1:50-1:100
Limitations This BCL2L11 antibody is available for research use only.
Review this product on BioCompare and get a $20 Amazon gift card

Related Products

Description

The protein encoded by the BCL2L11 gene belongs to the BCL-2 protein family. BCL-2 family members form hetero- or homodimers and act as anti- or pro-apoptotic regulators that are involved in a wide variety of cellular activities. The protein encoded by this gene contains a Bcl-2 homology domain 3 (BH3). It has been shown to interact with other members of the BCL-2 protein family and to act as an apoptotic activator. The expression of this gene can be induced by nerve growth factor (NGF), as well as by the forkhead transcription factor FKHR-L1, which suggests a role of this gene in neuronal and lymphocyte apoptosis. Transgenic studies of the mouse counterpart suggested that this gene functions as an essential initiator of apoptosis in thymocyte-negative selection. Several alternatively spliced transcript variants of this gene have been identified. [RefSeq]

Application Notes

Optimal dilution of the BCL2L11 antibody should be determined by the researcher.

Immunogen

A synthetic peptide specific to human Bim / BCL2L11 was used as the immunogen for the Bim antibody.

Storage

Store the BCL2L11 antibody at -20oC.

Cross
Bulk Quote Request Form
Name*:
Organization*:
Email*:
Phone Number*:
Catalog No.*:
Comments and Specifics(amount, formulation, etc.)*:
Validation code: Captchapackage Image


Can't read the image? click here to refresh.
    *required field

Your bulk quote request has been submitted successfully!

Please contact us if you have any questions.