• Tel: 858.663.9055
  • SeparatorEmail: info@nsjbio.com
  • Tel: 858.663.9055
  • Email: info@nsjbio.com
Home >> Antibodies >> Bcl10 Antibody

Bcl10 Antibody [clone SPM520] (V9102)

  Catalog No Formulation Size Price (USD)  
Image V9102-100UG 0.2 mg/ml in 1X PBS with 0.1 mg/ml BSA (US sourced) and 0.05% sodium azide 100 ug 539
Image
V9102-20UG 0.2 mg/ml in 1X PBS with 0.1 mg/ml BSA (US sourced) and 0.05% sodium azide 20 ug 249
Image
V9102SAF-100UG 1 mg/ml in 1X PBS; BSA free, sodium azide free 100 ug 539
Image
V9102IHC-7ML Prediluted in 1X PBS with 0.1 mg/ml BSA (US sourced) and 0.05% sodium azide; *For IHC use only* 7 ml 539
Bulk quote request
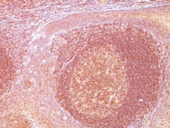
IHC: Formalin-fixed, paraffin-embedded human tonsil stained with Bcl10 antibody (SPM520).
Availability 1-3 business days
Species Reactivity Human
Format Purified
Clonality Monoclonal (mouse origin)
Isotype Mouse IgG1, kappa
Clone Name SPM520
Purity Protein G affinity chromatography
UniProt O95999
Localization Nuclear and cytoplasmic
Applications Immunohistochemistry (FFPE) : 1-2ug/ml for 30 min at RT (1) (2)
Limitations This Bcl10 antibody is available for research use only.
Review this product on BioCompare and get a $20 Amazon gift card

Related Products

Description

Bcl10, with an N-terminal caspase recruitment domain (CARD), is found in a number of apoptotic regulatory molecules. It was identified through its direct involvement in t(1;14) of mucosa-associated lymphoid tissue (MALT) lymphoma. Expression of Bcl10 was shown to induce NF-kB activation in a NIK-dependent pathway. This mAb labels subpopulations of normal B and T cells and is a useful tool for the sub-classification of lymphomas. In MALT lymphomas with the t(1;14) translocation, while 55% of MALT lymphomas lacking this translocation exhibited the same labeling pattern, although at a much lower level.

Application Notes

The optimal dilution of the Bcl10 antibody for each application should be determined by the researcher.

1. Staining of formalin-fixed tissues requires boiling tissue sections in pH 9 10mM Tris with 1mM EDTA for 10-20 min followed by cooling at RT for 20 minutes.
2. The prediluted format is supplied in a dropper bottle and is optimized for use in IHC. After epitope retrieval step (if required), drip mAb solution onto the tissue section and incubate at RT for 30 min.

Immunogen

Amino acids 122-168 were used as the immunogen for this Bcl10 antibody.

Storage

Store the Bcl10 antibody at 2-8oC (with azide) or aliquot and store at -20oC or colder (without azide).

Cross
Bulk Quote Request Form
Name*:
Organization*:
Email*:
Phone Number*:
Catalog No.*:
Comments and Specifics(amount, formulation, etc.)*:
Validation code: Captchapackage Image


Can't read the image? click here to refresh.
    *required field

Your bulk quote request has been submitted successfully!

Please contact us if you have any questions.