• Tel: 858.663.9055
  • SeparatorEmail: info@nsjbio.com
  • Tel: 858.663.9055
  • Email: info@nsjbio.com
Home >> Antibodies >> Bcl-XS Antibody

Bcl-XS Antibody (R30334)

  Catalog No Formulation Size Price (USD)  
Image R30334 0.5mg/ml if reconstituted with 0.2ml sterile DI water 100 ug 439
Bulk quote request
Western blot testing of 1) human HeLa and 2) rat PC-12 cell lysate with Bcl-XS antibody. Predicted/observed molecular weight: ~19 kDa.
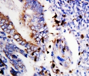
IHC-P: Bcl-XS antibody testing of human colon cancer tissue. HIER: steamed with pH6 citrate buffer.
Availability 1-3 business days
Species Reactivity Human, Mouse, Rat
Format Antigen affinity purified
Clonality Polyclonal (rabbit origin)
Isotype Rabbit IgG
Purity Antigen affinity
Buffer Lyophilized from 1X PBS with 2.5% BSA and 0.025% sodium azide/thimerosal
UniProt Q07817
Applications Western Blot : 0.5-1ug/ml
IHC (FFPE) : 0.5-1ug/ml
Limitations This Bcl-XS antibody is available for research use only.
Review this product on BioCompare and get a $20 Amazon gift card

Description

Bcl-XS is the second mRNA species of Bcl-X protein, which encodes a protein that inhibits the ability of Bcl-2 to enhance the survival of growth factor-deprived cells. In vivo, Bcl-XS mRNA is expressed at high levels in cells that undergo a high rate of turnover, such as developing lymphocytes. Apoptosis was associated with increased protein expression of Bcl-XS, an early marker of apoptosis, and release of Cytochrome C into the cytosol of infected HB cells.

Application Notes

The stated application concentrations are suggested starting points. Titration of the Bcl-XS antibody may be required due to differences in protocols and secondary/substrate sensitivity.

Immunogen

Amino acids 120-130 (YQSFEQDTFVE-human) were used as the immunogen for this Bcl-XS antibody.

Storage

After reconstitution, the Bcl-XS antibody can be stored for up to one month at 4oC. For long-term, aliquot and store at -20oC. Avoid repeated freezing and thawing.

Cross
Bulk Quote Request Form
Name*:
Organization*:
Email*:
Phone Number*:
Catalog No.*:
Comments and Specifics(amount, formulation, etc.)*:
Validation code: Captchapackage Image


Can't read the image? click here to refresh.
    *required field

Your bulk quote request has been submitted successfully!

Please contact us if you have any questions.