• Tel: 858.663.9055
  • SeparatorEmail: info@nsjbio.com
  • Tel: 858.663.9055
  • Email: info@nsjbio.com
Home >> Antibodies >> Bcl-XL Antibody / BCL2L1

Bcl-XL Antibody / BCL2L1 (R32762)

  Catalog No Formulation Size Price (USD)  
Image R32762 0.5mg/ml if reconstituted with 0.2ml sterile DI water 100 ug 439
Bulk quote request
Flow cytometry testing of fixed and permeabilized human Jurkat cells with Bcl-XL antibody at 1ug/million cells (blocked with goat sera); Red=cells alone, Green=isotype control, Blue= Bcl-XL antibody.
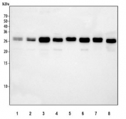
Western blot testing of 1) human Jurkat, 2) human HeLa, 3) human A549, 4) human Raji, 5) rat brain, 6) rat C6, 7) mouse brain and 8) mouse NIH 3T3 cell lysate with Bcl-XL antibody at 0.5ug/ml. Expected molecular weight: 26-30 kDa.
Immunofluorescent staining of FFPE human TPC-1 cells with Bcl-XL antibody (green) and DAPI nuclear stain (blue). HIER: steam section in pH6 citrate buffer for 20 min.
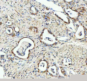
IHC staining of FFPE human pancreatic cancer tissue with Bcl-XL antibody, HRP-secondary and DAB substrate. HIER: boil tissue sections in pH8 EDTA for 20 min and allow to cool before testing.
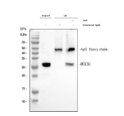
Immunoprecipitation of Bcl-XL protein from 500ug of human A549 whole cell lysate with 2ug of Bcl-XL antibody.
Availability 1-3 business days
Species Reactivity Human, Mouse, Rat
Format Antigen affinity purified
Clonality Polyclonal (rabbit origin)
Isotype Rabbit IgG
Purity Antigen affinity
Buffer Lyophilized from 1X PBS with 2% Trehalose
UniProt Q07817
Localization Cytoplasmic, membranous
Applications Western Blot : 0.5-1ug/ml
Flow Cytometry : 1-3ug/million cells
Immunohistochemistry (FFPE) : 2-5ug/ml
Immunofluorescence : 5ug/ml
Immunoprecipitation : 2ug per 500ug of lysate
Limitations This Bcl-XL antibody is available for research use only.
Review this product on BioCompare and get a $20 Amazon gift card

Description

Bcl-XL, also called BCL2L1, is a member of the BCL2 protein family and functions as a key regulator of apoptosis. Located primarily in the mitochondrial outer membrane, it prevents programmed cell death by inhibiting pro-apoptotic proteins such as BAX and BAK. Researchers frequently use a Bcl-XL antibody to study cell survival pathways and mechanisms of apoptosis regulation.

Bcl-XL is involved in maintaining mitochondrial integrity and regulating cytochrome c release during stress responses. Its overexpression has been associated with tumor progression and resistance to chemotherapy, making it an important focus in cancer biology. A Bcl-XL antibody provides a valuable tool for detecting this protein across cancer and neurobiology studies.

NSJ Bioreagents offers a high-quality Bcl-XL antibody for use in applications such as western blot, immunohistochemistry, and immunofluorescence. Selecting the right Bcl-XL antibody ensures sensitive and reproducible detection in research exploring apoptosis, cancer, and cell survival mechanisms.

Application Notes

Optimal dilution of the Bcl-XL antibody should be determined by the researcher.

Immunogen

Amino acids M1-T219 from the human protein were used as the immunogen for the Bcl-XL antibody.

Storage

After reconstitution, the Bcl-XL antibody can be stored for up to one month at 4oC. For long-term, aliquot and store at -20oC. Avoid repeated freezing and thawing.

Cross
Bulk Quote Request Form
Name*:
Organization*:
Email*:
Phone Number*:
Catalog No.*:
Comments and Specifics(amount, formulation, etc.)*:
Validation code: Captchapackage Image


Can't read the image? click here to refresh.
    *required field

Your bulk quote request has been submitted successfully!

Please contact us if you have any questions.