• Tel: 858.663.9055
  • SeparatorEmail: info@nsjbio.com
  • Tel: 858.663.9055
  • Email: info@nsjbio.com
Home >> Antibodies >> BCL-6 corepressor Antibody / BCOR

BCL-6 corepressor Antibody / BCOR [clone BCOR/2372] (V5339)

  Catalog No Formulation Size Price (USD)  
Image V5339-100UG 0.2 mg/ml in 1X PBS with 0.1 mg/ml BSA (US sourced), 0.05% sodium azide 100 ug 539
Image
V5339-20UG 0.2 mg/ml in 1X PBS with 0.1 mg/ml BSA (US sourced), 0.05% sodium azide 20 ug 249
Image
V5339SAF-100UG 1 mg/ml in 1X PBS; BSA free, sodium azide free 100 ug 539
Microvalidated
Bulk quote request
Analysis of a HuProt(TM) microarray containing more than 19,000 full-length human proteins using BCL-6 corepressor antibody (clone BCOR/2372). Z- and S- Score: The Z-score represents the strength of a signal that a monoclonal antibody (in combination with a fluorescently-tagged anti-IgG secondary antibody) produces when binding to a particular protein on the HuProt(TM) array. Z-scores are described in units of standard deviations (SD's) above the mean value of all signals generated on that array. If targets on HuProt(TM) are arranged in descending order of the Z-score, the S-score is the difference (also in units of SD's) between the Z-score. S-score therefore represents the relative target specificity of a mAb to its intended target. A mAb is considered to specific to its intended target, if the mAb has an S-score of at least 2.5. For example, if a mAb binds to protein X with a Z-score of 43 and to protein Y with a Z-score of 14, then the S-score for the binding of that mAb to protein X is equal to 29.
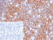
IHC staining of FFPE human tonsil tissue with BCL-6 corepressor antibody (clone BCOR/2372). Inset: PBS used in place of primary Ab (secondary Ab negative control). HIER: boil tissue sections in pH 9 10mM Tris with 1mM EDTA for 20 min and allow to cool before testing.
SDS-PAGE analysis of purified, BSA-free BCL-6 corepressor antibody (clone BCOR/2372) as confirmation of integrity and purity.
Availability 1-3 business days
Species Reactivity Human
Format Purified
Clonality Monoclonal (mouse origin)
Isotype Mouse IgG1, kappa
Clone Name BCOR/2372
Purity Protein A/G affinity
UniProt Q6W2J9
Localization Nucleus
Applications Immunohistochemistry (FFPE) : 1-2ug/ml for 30 min at RT
Limitations This BCL-6 corepressor antibody is available for research use only.
Review this product on BioCompare and get a $20 Amazon gift card

Related Products

Description

Bcl-6, a transcriptional repressor, can promote or inhibit apoptosis depending on the cell type and also plays an important role in normal immune responses. Bcl-6 negatively regulates NFkB expression, thereby inhibiting NFkB-mediated cellular functions and is frequently found to be deregulated in non-Hodgkin s lymphoma. BCoR (Bcl-6 corepressor) is a 1,755 amino acid protein that associates with histone deacetylases (HDACs) to transcriptionally repress Bcl-6. With ubiquitous expression, BCoR is localized to the nucleus where it interacts with other proteins through its three ANK repeat domains. Mutations in the gene encoding BCoR result in microphthalmia with associated anomalies 2, also known as anophthalmia, which is characterized by variable features, such as renal aplasia, mental retardation, hyospadias, microencephaly and cryptorchidism. There are four isoforms of BCoR which are produced as a result of alternative splicing events.

Application Notes

Optimal dilution of the BCL-6 corepressor antibody should be determined by the researcher.

Immunogen

A recombinant partial protein sequence (within amino acids 100-400) from the human protein was used as the immunogen for the BCL-6 corepressor antibody.

Storage

Aliquot the BCL-6 corepressor antibody and store frozen at -20oC or colder. Avoid repeated freeze-thaw cycles.

Cross
Bulk Quote Request Form
Name*:
Organization*:
Email*:
Phone Number*:
Catalog No.*:
Comments and Specifics(amount, formulation, etc.)*:
Validation code: Captchapackage Image


Can't read the image? click here to refresh.
    *required field

Your bulk quote request has been submitted successfully!

Please contact us if you have any questions.