• Tel: 858.663.9055
  • SeparatorEmail: info@nsjbio.com
  • Tel: 858.663.9055
  • Email: info@nsjbio.com
Home >> Antibodies >> BCKDK Antibody / BCKDHKIN

BCKDK Antibody / BCKDHKIN (RQ6601)

  Catalog No Formulation Size Price (USD)  
Image RQ6601 0.5mg/ml if reconstituted with 0.2ml sterile DI water 100 ug 439
Bulk quote request
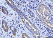
IHC staining of FFPE human breast cancer tissue with BCKDK antibody. HIER: boil tissue sections in pH8 EDTA for 20 min and allow to cool before testing.
IHC staining of FFPE human gastric adenocarcinoma tissue with BCKDK antibody. HIER: boil tissue sections in pH8 EDTA for 20 min and allow to cool before testing.
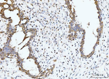
IHC staining of FFPE human placental tissue with BCKDK antibody. HIER: boil tissue sections in pH8 EDTA for 20 min and allow to cool before testing.
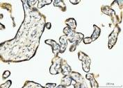
IHC staining of FFPE human liver cancer tissue with BCKDK antibody. HIER: boil tissue sections in pH8 EDTA for 20 min and allow to cool before testing.
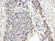
IHC staining of FFPE human gall bladder adenosquamous carcinoma tissue with BCKDK antibody. HIER: boil tissue sections in pH8 EDTA for 20 min and allow to cool before testing.
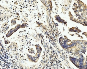
IHC staining of FFPE human colonic adenocarcinoma tissue with BCKDK antibody. HIER: boil tissue sections in pH8 EDTA for 20 min and allow to cool before testing.
Immunofluorescent staining of FFPE human MCF7 cells with BCKDK antibody (red) and DAPI nuclear stain (blue). HIER: steam section in pH6 citrate buffer for 20 min.
Western blot testing of 1) human HepG2, 2) rat kidney, 3) mouse kidney and 4) mouse RAW264.7 cell lysate with BCKDK antibody. Predicted molecular weight ~46 kDa.
Flow cytometry testing of human ThP-1 cells with BCKDK antibody at 1ug/million cells (blocked with goat sera); Red=cells alone, Green=isotype control, Blue= BCKDK antibody.
Availability 1-3 business days
Species Reactivity Human, Mouse, Rat
Format Antigen affinity purified
Clonality Polyclonal (rabbit origin)
Isotype Rabbit IgG
Purity Antigen affinity purified
Buffer Lyophilized from 1X PBS with 2% Trehalose
UniProt O14874
Localization Cytoplasmic
Applications Western Blot : 1-2ug/ml
Immunohistochemistry (FFPE) : 2-5ug/ml
Immunofluorescence (FFPE) : 5ug/ml
Flow Cytometry : 1-3ug/million cells
Direct ELISA : 0.1-0.5ug/ml
Limitations This BCKDK antibody is available for research use only.
Review this product on BioCompare and get a $20 Amazon gift card

Related Products

Description

Branched chain ketoacid dehydrogenase kinase (BCKDK) is an enzyme encoded by the BCKDK gene on chromosome 16. The branched-chain alpha-ketoacid dehydrogenase complex (BCKD) is an important regulator of the valine, leucine, and isoleucine catabolic pathways. The protein encoded by this gene is found in the mitochondrion, where it phosphorylates and inactivates BCKD. Several transcript variants encoding different isoforms have been found for this gene.

Application Notes

Optimal dilution of the BCKDK antibody should be determined by the researcher.

Immunogen

Recombinant human protein (amino acids D36-R316) was used as the immunogen for the BCKDK antibody.

Storage

After reconstitution, the BCKDK antibody can be stored for up to one month at 4oC. For long-term, aliquot and store at -20oC. Avoid repeated freezing and thawing.

Cross
Bulk Quote Request Form
Name*:
Organization*:
Email*:
Phone Number*:
Catalog No.*:
Comments and Specifics(amount, formulation, etc.)*:
Validation code: Captchapackage Image


Can't read the image? click here to refresh.
    *required field

Your bulk quote request has been submitted successfully!

Please contact us if you have any questions.