• Tel: 858.663.9055
  • SeparatorEmail: info@nsjbio.com
  • Tel: 858.663.9055
  • Email: info@nsjbio.com
Home >> Antibodies >> BCKDHB Antibody

BCKDHB Antibody (F54271)

  Catalog No Formulation Size Price (USD)  
Image F54271-0.4ML In 1X PBS, pH 7.4, with 0.09% sodium azide 0.4 ml 429
Image
F54271-0.08ML In 1X PBS, pH 7.4, with 0.09% sodium azide 0.08 ml 199
Bulk quote request
Western blot testing of human 1) HeLa, 2) 293T and 3) Jurkat cell lysate with BCKDHB antibody. Predicted molecular weight: ~43 kDa, observed molecular weight: ~35 kDa.
Western blot testing of human 1) HeLa, 2) Jurkat and 3) Daudi cell lysate with BCKDHB antibody. Predicted molecular weight: ~43 kDa, observed molecular weight: ~35 kDa.
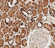
IHC testing of FFPE human kidney tissue with BCKDHB antibody. HIER: steam section in pH6 citrate buffer for 20 min and allow to cool prior to staining.
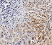
IHC testing of FFPE human hepatocarinoma with BCKDHB antibody. HIER: steam section in pH6 citrate buffer for 20 min and allow to cool prior to staining.
Immunofluorescent staining of fixed and permeabilized human HeLa cells with BCKDHB antibody (green) and DAPI nuclear stain (blue).
Flow cytometry testing of fixed and permeabilized human HeLa cells with BCKDHB antibody; Blue=isotype control, Green= BCKDHB antibody.
Availability 1-3 business days
Species Reactivity Human
Format Purified
Clonality Polyclonal (rabbit origin)
Isotype Rabbit Ig
Purity Antigen affinity purified
UniProt P21953
Localization Cytoplasmic
Applications Western Blot : 1:500-1:2000
Immunohistochemistry (FFPE) : 1:25
Immunofluorescence : 1:25
Flow Cytometry : 1:25 (1x10e6 cells)
Limitations This BCKDHB antibody is available for research use only.
Review this product on BioCompare and get a $20 Amazon gift card

Description

Branched-chain keto acid dehydrogenase is a multienzyme complex associated with the inner membrane of mitochondria, and functions in the catabolism of branched-chain amino acids. The complex consists of multiple copies of 3 components: branched-chain alpha-keto acid decarboxylase (E1), lipoamide acyltransferase (E2) and lipoamide dehydrogenase (E3). This gene encodes the E1 beta subunit, and mutations therein have been associated with maple syrup urine disease (MSUD), type 1B, a disease characterized by a maple syrup odor to the urine in addition to mental and physical retardation, and feeding problems.

Application Notes

The stated application concentrations are suggested starting points. Titration of the BCKDHB antibody may be required due to differences in protocols and secondary/substrate sensitivity.

Immunogen

A portion of amino acids 41-70 from the human protein were used as the immunogen for the BCKDHB antibody.

Storage

Aliquot the BCKDHB antibody and store frozen at -20oC or colder. Avoid repeated freeze-thaw cycles.

Cross
Bulk Quote Request Form
Name*:
Organization*:
Email*:
Phone Number*:
Catalog No.*:
Comments and Specifics(amount, formulation, etc.)*:
Validation code: Captchapackage Image


Can't read the image? click here to refresh.
    *required field

Your bulk quote request has been submitted successfully!

Please contact us if you have any questions.