• Tel: 858.663.9055
  • SeparatorEmail: info@nsjbio.com
  • Tel: 858.663.9055
  • Email: info@nsjbio.com
Home >> Antibodies >> BCAT1 Antibody / Branched-chain Aminotransferase 1

BCAT1 Antibody / Branched-chain Aminotransferase 1 (RQ7149)

  Catalog No Formulation Size Price (USD)  
Image RQ7149 0.5mg/ml if reconstituted with 0.2ml sterile DI water 100 ug 439
Bulk quote request
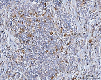
IHC staining of FFPE human lymphoma tissue with BCAT1 antibody. HIER: boil tissue sections in pH8 EDTA for 20 min and allow to cool before testing.
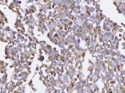
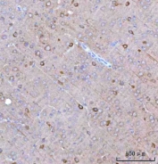
IHC staining of FFPE mouse brain tissue with BCAT1 antibody. HIER: boil tissue sections in pH8 EDTA for 20 min and allow to cool before testing.
IHC staining of FFPE rat brain tissue with BCAT1 antibody. HIER: boil tissue sections in pH8 EDTA for 20 min and allow to cool before testing.
Western blot testing of 1) human Raji, 2) human MOLT4, 3) human HeLa, 4) rat pancreas, 5) rat kidney, 6) mouse kidney and 7) mouse Neuro-2a cell lysate with BCAT1 antibody. Predicted molecular weight ~43 kDa.
Flow cytometry testing of human U937 cells with BCAT1 antibody at 1ug/million cells (blocked with goat sera); Red=cells alone, Green=isotype control, Blue= BCAT1 antibody.
Availability 1-3 business days
Species Reactivity Human, Mouse, Rat
Format Antigen affinity purified
Clonality Polyclonal (rabbit origin)
Isotype Rabbit IgG
Purity Antigen affinity purified
Buffer Lyophilized from 1X PBS with 2% Trehalose
UniProt P54687
Localization Cytoplasmic
Applications Western Blot : 0.5-1ug/ml
Immunohistochemistry (FFPE) : 2-5ug/ml
Flow Cytometry : 1-3ug/million cells
Direct ELISA : 0.1-0.5ug/ml
Limitations This BCAT1 antibody is available for research use only.
Review this product on BioCompare and get a $20 Amazon gift card

Related Products

  • Applications : WB, IHC-P
    Reactivity : Human

Description

BCAT1, or Branched-chain Aminotransferase 1, is also know as BCT1. The BCAT1 gene is highly expressed early in embryogenesis, and during organogenesis its expression is localized to the neural tube, the somites, and the mesonephric tubules. The gene is also expressed in several MYC-based tumors. The BCAT1 gene is mapped to chromosome 12. Lack of the enzyme BCT can cause auxotroph, a kind of auxotrophic mutant in Chinese-hamster ovary cells that lacks the ability to grow if alpha-ketoisovaleric acid, alpha-ketoisocaproic acid, and alpha-keto-beta-methylvaleric acid are substituted for valine, leucine, and isoleucine in the culture medium.

Application Notes

Optimal dilution of the BCAT1 antibody should be determined by the researcher.

Immunogen

Recombinant human protein (amino acids L88-S386) was used as the immunogen for the BCAT1 antibody.

Storage

After reconstitution, the BCAT1 antibody can be stored for up to one month at 4oC. For long-term, aliquot and store at -20oC. Avoid repeated freezing and thawing.

Cross
Bulk Quote Request Form
Name*:
Organization*:
Email*:
Phone Number*:
Catalog No.*:
Comments and Specifics(amount, formulation, etc.)*:
Validation code: Captchapackage Image


Can't read the image? click here to refresh.
    *required field

Your bulk quote request has been submitted successfully!

Please contact us if you have any questions.